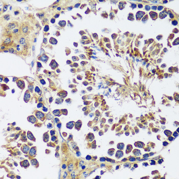
Immunohistochemistry of paraffin-embedded Mouse testis using CCDC124 Polyclonal Antibody at dilution of 1:100 (40x lens).
CCDC124 Polyclonal Antibody
E-AB-65005
Product group Antibodies
Overview
- SupplierElabscience
- Product NameCCDC124 Polyclonal Antibody
- Delivery Days Customer12
- CertificationResearch Use Only
- Scientific DescriptionCCDC124 (Coiled-Coil Domain Containing 124) is a Protein Coding gene.
- UNSPSC12352203




