
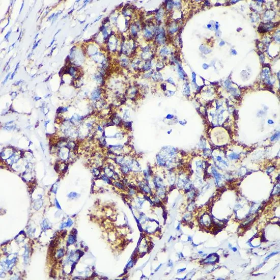
IHC-P analysis of human colon carcinoma tissue using GTX66382 CCDC44 antibody. Dilution : 1:100
CCDC44 antibody
GTX66382
ApplicationsWestern Blot, ImmunoHistoChemistry, ImmunoHistoChemistry Paraffin
Product group Antibodies
ReactivityHuman, Mouse, Rat
TargetTACO1
Overview
- SupplierGeneTex
- Product NameCCDC44 antibody
- Delivery Days Customer9
- Application Supplier NoteWB: 1:200 - 1:2000. IHC-P: 1:50 - 1:200. *Optimal dilutions/concentrations should be determined by the researcher.Not tested in other applications.
- ApplicationsWestern Blot, ImmunoHistoChemistry, ImmunoHistoChemistry Paraffin
- CertificationResearch Use Only
- ClonalityPolyclonal
- ConjugateUnconjugated
- Gene ID51204
- Target nameTACO1
- Target descriptiontranslational activator of cytochrome c oxidase I
- Target synonymsCCDC44, MC4DN8, translational activator of cytochrome c oxidase 1, clone HQ0477 PRO0477p, coiled-coil domain-containing protein 44, translational activator of COX I, translational activator of mitochondrially encoded cytochrome c oxidase I
- HostRabbit
- IsotypeIgG
- Protein IDQ9BSH4
- Protein NameTranslational activator of cytochrome c oxidase 1
- Scientific DescriptionThis gene encodes a mitochondrial protein that function as a translational activator of mitochondrially-encoded cytochrome c oxidase 1. Mutations in this gene are associated with Leigh syndrome.[provided by RefSeq, Mar 2010]
- ReactivityHuman, Mouse, Rat
- Storage Instruction-20°C or -80°C,2°C to 8°C
- UNSPSC41116161







