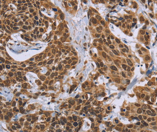
Immunohistochemistry of paraffin-embedded Human cervical cancer tissue using CCL21 Polyclonal Antibody at dilution 1:40
CCL21 Polyclonal Antibody
E-AB-10215
ApplicationsImmunoHistoChemistry
Product group Antibodies
TargetCCL21
Overview
- SupplierElabscience
- Product NameCCL21 Polyclonal Antibody
- Delivery Days Customer12
- ApplicationsImmunoHistoChemistry
- Applications SupplierELISA IHC
- CertificationResearch Use Only
- ClonalityPolyclonal
- Concentration0.6 mg/ml
- ConjugateUnconjugated
- Gene ID6366
- Target nameCCL21
- Target descriptionC-C motif chemokine ligand 21
- Target synonyms6Ckine, CKb9, ECL, SCYA21, SLC, TCA4, C-C motif chemokine 21, Efficient Chemoattractant for Lymphocytes, beta chemokine exodus-2, chemokine (C-C motif) ligand 21, secondary lymphoid tissue chemokine, small inducible cytokine subfamily A (Cys-Cys), member 21
- HostRabbit
- IsotypeIgG
- Protein IDO00585
- Protein NameC-C motif chemokine 21
- Scientific DescriptionThis gene is one of several CC cytokine genes clustered on the p-arm of chromosome 9. Cytokines are a family of secreted proteins involved in immunoregulatory and inflammatory processes. The CC cytokines are proteins characterized by two adjacent cysteines. Similar to other chemokines the protein encoded by this gene inhibits hemopoiesis and stimulates chemotaxis. This protein is chemotactic in vitro for thymocytes and activated T cells, but not for B cells, macrophages, or neutrophils. The cytokine encoded by this gene may also play a role in mediating homing of lymphocytes to secondary lymphoid organs. It is a high affinity functional ligand for chemokine receptor 7 that is expressed on T and B lymphocytes and a known receptor for another member of the cytokine family (small inducible cytokine A19).
- Storage Instruction-20°C
- UNSPSC41116161







