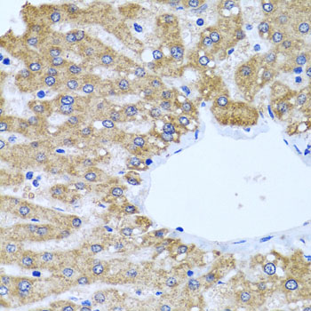
Immunohistochemistry of paraffin-embedded Human liver using CCM2 Polyclonal Antibody at dilution of 1:100 (40x lens).
CCM2 Polyclonal Antibody
E-AB-63185
Product group Antibodies
Overview
- SupplierElabscience
- Product NameCCM2 Polyclonal Antibody
- Delivery Days Customer12
- CertificationResearch Use Only
- Scientific DescriptionThis gene encodes a scaffold protein that functions in the stress-activated p38 Mitogen-activated protein kinase (MAPK) signaling cascade. The protein interacts with SMAD specific E3 ubiquitin protein ligase 1 (also known as SMURF1) via a phosphotyrosine binding domain to promote RhoA degradation. The protein is required for normal cytoskeletal structure, cell-cell interactions, and lumen formation in endothelial cells. Mutations in this gene result in cerebral cavernous malformations. Multiple transcript variants encoding different isoforms have been found for this gene.
- UNSPSC12352203





