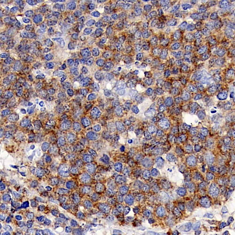
Immunohistochemistry analysis of paraffin-embedded human tonsil using CD192 Polyclonal Antibody at dilution of 1:300.
CD192 Polyclonal Antibody
E-AB-70194
Product group Antibodies
Overview
- SupplierElabscience
- Product NameCD192 Polyclonal Antibody
- Delivery Days Customer12
- CertificationResearch Use Only
- Scientific DescriptionThis gene encodes two isoforms of a receptor for monocyte chemoattractant protein-1, a chemokine which specifically mediates monocyte chemotaxis. Monocyte chemoattractant protein-1 is involved in monocyte infiltration in inflammatory diseases such as rheumatoid arthritis as well as in the inflammatory response against tumors. The receptors encoded by this gene mediate agonist-dependent calcium mobilization and inhibition of adenylyl cyclase. This gene is located in the chemokine receptor gene cluster region. Two alternatively spliced transcript variants are expressed by the gene.
- UNSPSC12352203





