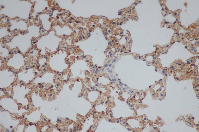
Immunohistochemistry of paraffin-embedded Rat lung using CD244 Polyclonal Antibody at dilution of 1:50
CD244 Polyclonal Antibody
E-AB-40060
Product group Antibodies
Overview
- SupplierElabscience
- Product NameCD244 Polyclonal Antibody
- Delivery Days Customer12
- CertificationResearch Use Only
- Scientific DescriptionModulate other receptor-ligand interactions to enhance leukocyte activation.
- UNSPSC12352203



![anti-CD244 [2B4] (human), mAb (ANC244.8/8F7)](https://adipogen.com/pub/media/catalog/product/a/n/anc-259-020-facs-web250_1.png)



