
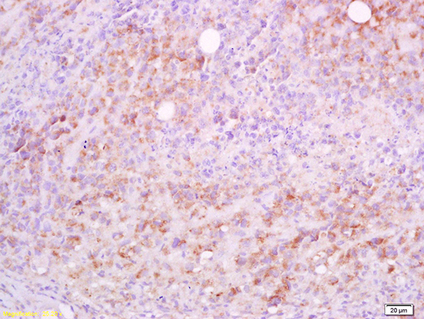
Paraformaldehyde-fixed, paraffin embedded rat spleen; Antigen retrieval by boiling in sodium citrate buffer (pH6.0) for 15min; Block endogenous peroxidase by 3% hydrogen peroxide for 20 minutes; Blocking buffer (normal goat serum) at 37°C for 30min; Antibody incubation with CD5L Polyclonal Antibody, Unconjugated (bs-2487R) at 1:400 overnight at 4°C, followed by a conjugated secondary for 20 minutes and DAB staining.
CD5L Polyclonal Antibody
BS-2487R
ApplicationsImmunoFluorescence, ELISA, ImmunoCytoChemistry, ImmunoHistoChemistry, ImmunoHistoChemistry Frozen, ImmunoHistoChemistry Paraffin
Product group Antibodies
ReactivityHuman, Mouse, Rat
TargetCD5L
Overview
- SupplierBioss
- Product NameCD5L Polyclonal Antibody
- Delivery Days Customer16
- ApplicationsImmunoFluorescence, ELISA, ImmunoCytoChemistry, ImmunoHistoChemistry, ImmunoHistoChemistry Frozen, ImmunoHistoChemistry Paraffin
- Applications SupplierELISA(1:500-1000), IHC-P(1:200-400), IHC-F(1:100-500), IF(IHC-P)(1:50-200), IF(IHC-F)(1:50-200), IF(ICC)(1:50-200)
- CertificationResearch Use Only
- ClonalityPolyclonal
- Concentration1 ug/ul
- ConjugateUnconjugated
- Gene ID922
- Target nameCD5L
- Target descriptionCD5 molecule like
- Target synonymsAIM, API6, CT-2, PRO229, SP-ALPHA, Spalpha, hAIM, CD5 antigen-like, CD5 antigen-like (scavenger receptor cysteine rich family), apoptosis inhibitor 6, apoptosis inhibitor expressed by macrophages, apoptosis inhibitor of macrophage, igM-associated peptide
- HostRabbit
- IsotypeIgG
- Protein IDO43866
- Protein NameCD5 antigen-like
- ReactivityHuman, Mouse, Rat
- Storage Instruction-20°C
- UNSPSC41116161







