
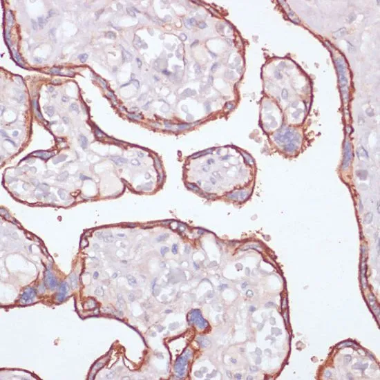
IHC-P analysis of human placenta tissue using GTX54599 CD73 antibody. Dilution : 1:200
CD73 antibody
GTX54599
ApplicationsWestern Blot, ImmunoHistoChemistry, ImmunoHistoChemistry Paraffin
Product group Antibodies
ReactivityHuman, Mouse, Rat
TargetNT5E
Overview
- SupplierGeneTex
- Product NameCD73 antibody
- Delivery Days Customer7
- Application Supplier NoteWB: 1:500 - 1:2000. IHC-P: 1:50 - 1:200. *Optimal dilutions/concentrations should be determined by the researcher.Not tested in other applications.
- ApplicationsWestern Blot, ImmunoHistoChemistry, ImmunoHistoChemistry Paraffin
- CertificationResearch Use Only
- ClonalityPolyclonal
- ConjugateUnconjugated
- Gene ID4907
- Target nameNT5E
- Target description5'-nucleotidase ecto
- Target synonymsCALJA, CD73, E5NT, NT, NT5, NTE, eN, eNT, 5'-nucleotidase, 5'-NT, 5'-deoxynucleotidase, IMP-specific 5'-nucleotidase, Purine 5-Prime-Nucleotidase, ecto-5'-nucleotidase, thymidylate 5'-phosphatase
- HostRabbit
- IsotypeIgG
- Protein IDP21589
- Protein Name5'-nucleotidase
- Scientific DescriptionThe protein encoded by this gene is a plasma membrane protein that catalyzes the conversion of extracellular nucleotides to membrane-permeable nucleosides. The encoded protein is used as a determinant of lymphocyte differentiation. Defects in this gene can lead to the calcification of joints and arteries. Two transcript variants encoding different isoforms have been found for this gene.[provided by RefSeq, Mar 2011]
- ReactivityHuman, Mouse, Rat
- Storage Instruction-20°C or -80°C,2°C to 8°C
- UNSPSC41116161












![FACS analysis of human peripheral blood cells using GTX17626-06 CD73 antibody [AD2] (FITC).](https://www.genetex.com/upload/website/prouct_img/normal/GTX17626-06/GTX17626-06_20190213_FACS_w_23060620_899.webp)