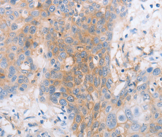
Immunohistochemistry of paraffin-embedded Human esophagus cancer tissue using CD85d Polyclonal Antibody at dilution 1:30
CD85d Polyclonal Antibody
E-AB-14170
ApplicationsImmunoHistoChemistry
Product group Antibodies
TargetLILRB2
Overview
- SupplierElabscience
- Product NameCD85d Polyclonal Antibody
- Delivery Days Customer12
- ApplicationsImmunoHistoChemistry
- CertificationResearch Use Only
- ClonalityPolyclonal
- Concentration0.7 mg/ml
- ConjugateUnconjugated
- Gene ID10288
- Target nameLILRB2
- Target descriptionleukocyte immunoglobulin like receptor B2
- Target synonymsCD85D, ILT-4, ILT4, LIR-2, LIR2, MIR-10, MIR10, leukocyte immunoglobulin-like receptor subfamily B member 2, CD85 antigen-like family member D, Ig-like transcript 4, leucocyte Ig-like receptor B2, leukocyte immunoglobulin-like receptor, subfamily B (with TM and ITIM domains), member 2, monocyte/macrophage immunoglobulin-like receptor 10, myeloid inhibitory receptor 10
- HostRabbit
- IsotypeIgG
- Protein IDQ8N423
- Protein NameLeukocyte immunoglobulin-like receptor subfamily B member 2
- Scientific DescriptionThis gene is a member of the leukocyte immunoglobulin-like receptor (LIR) family, which is found in a gene cluster at chromosomal region 19q13.4. The encoded protein belongs to the subfamily B class of LIR receptors which contain two or four extracellular immunoglobulin domains, a transmembrane domain, and two to four cytoplasmic immunoreceptor tyrosine-based inhibitory motifs (ITIMs). The receptor is expressed on immune cells where it binds to MHC class I molecules on antigen-presenting cells and transduces a negative signal that inhibits stimulation of an immune response.
- Storage Instruction-20°C
- UNSPSC41116161





