
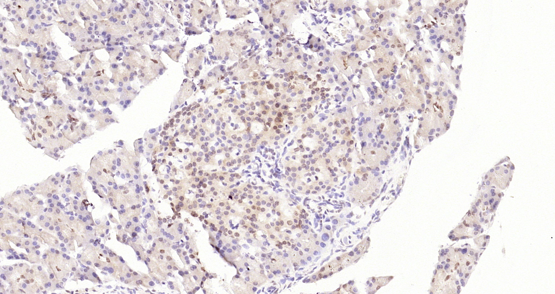
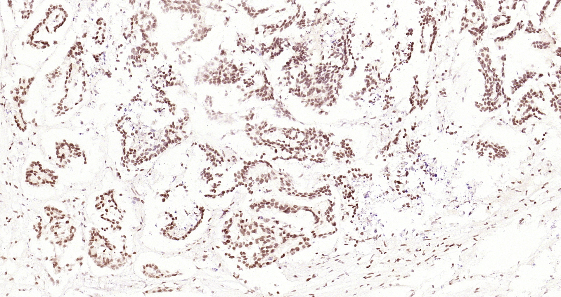
Paraformaldehyde-fixed, paraffin embedded Rat stomach; Antigen retrieval by boiling in sodium citrate buffer (pH6.0) for 15min; Block endogenous peroxidase by 3% hydrogen peroxide for 20 minutes; Blocking buffer (normal goat serum) at 37°C for 30min; Antibody incubation with CDCA7 Polyclonal Antibody, Unconjugated (bs-22227R) at 1:200 overnight at 4°C, DAB staining.
CDCA7 Polyclonal Antibody
BS-22227R
ApplicationsImmunoFluorescence, ImmunoHistoChemistry, ImmunoHistoChemistry Frozen, ImmunoHistoChemistry Paraffin
Product group Antibodies
ReactivityBovine, Human, Mouse, Porcine, Rabbit, Rat, Sheep
TargetCDCA7
Overview
- SupplierBioss
- Product NameCDCA7 Polyclonal Antibody
- Delivery Days Customer16
- ApplicationsImmunoFluorescence, ImmunoHistoChemistry, ImmunoHistoChemistry Frozen, ImmunoHistoChemistry Paraffin
- Applications SupplierIHC-P(1:200-400), IHC-F(1:100-500), IF()
- CertificationResearch Use Only
- ClonalityPolyclonal
- Concentration1 ug/ul
- ConjugateUnconjugated
- Gene ID83879
- Target nameCDCA7
- Target descriptioncell division cycle associated 7
- Target synonymsICF3, JPO1, cell division cycle-associated protein 7, c-Myc target JPO1
- HostRabbit
- IsotypeIgG
- Protein IDQ9BWT1
- Protein NameCell division cycle-associated protein 7
- ReactivityBovine, Human, Mouse, Porcine, Rabbit, Rat, Sheep
- Storage Instruction-20°C
- UNSPSC12352203




