
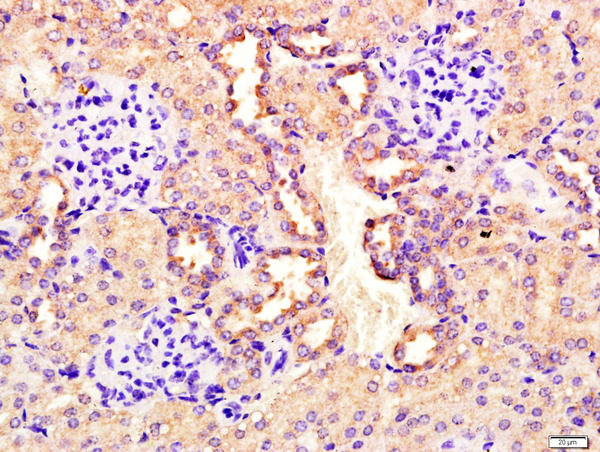
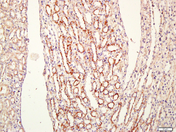
Paraformaldehyde-fixed, paraffin embedded Mouse kidney; Antigen retrieval by boiling in sodium citrate buffer (pH6.0) for 15min; Block endogenous peroxidase by 3% hydrogen peroxide for 20 minutes; Blocking buffer (normal goat serum) at 37°C for 30min; Antibody incubation with CEMIP Polyclonal Antibody, Unconjugated (bs-8059R) at 1:400 overnight at 4°C, followed by a conjugated secondary antibody for 20 minutes and DAB staining.
KIAA1199 Polyclonal Antibody
BS-8059R
ApplicationsImmunoFluorescence, Western Blot, ELISA, ImmunoCytoChemistry, ImmunoHistoChemistry, ImmunoHistoChemistry Frozen, ImmunoHistoChemistry Paraffin
Product group Antibodies
ReactivityBovine, Canine, Chicken, Equine, Human, Mouse, Rabbit, Rat
TargetCEMIP
Overview
- SupplierBioss
- Product NameKIAA1199 Polyclonal Antibody
- Delivery Days Customer16
- ApplicationsImmunoFluorescence, Western Blot, ELISA, ImmunoCytoChemistry, ImmunoHistoChemistry, ImmunoHistoChemistry Frozen, ImmunoHistoChemistry Paraffin
- Applications SupplierWB(1:300-5000), ELISA(1:500-1000), IHC-P(1:200-400), IHC-F(1:100-500), IF(IHC-P)(1:50-200), IF(IHC-F)(1:50-200), IF(ICC)(1:50-200)
- CertificationResearch Use Only
- ClonalityPolyclonal
- Concentration1 ug/ul
- ConjugateUnconjugated
- Gene ID57214
- Target nameCEMIP
- Target descriptioncell migration inducing hyaluronidase 1
- Target synonymsCCSP1, CEMIP1, HYBID, KIAA1199, TMEM2L, cell migration-inducing and hyaluronan-binding protein, cell migration inducing hyaluronan binding protein, cell migration inducing protein, hyaluronan binding, colon cancer secreted protein 1, hyaluronan-binding protein involved in hyaluronan depolymerization
- HostRabbit
- IsotypeIgG
- Protein IDQ8WUJ3
- Protein NameCell migration-inducing and hyaluronan-binding protein
- ReactivityBovine, Canine, Chicken, Equine, Human, Mouse, Rabbit, Rat
- Storage Instruction-20°C
- UNSPSC12352203
References
- Kwapiszewska G, Gungl A, Wilhelm J, et al. Transcriptome profiling reveals the complexity of pirfenidone effects in idiopathic pulmonary fibrosis. Eur Respir J. 2018,52(5):pii: 1800564. doi: 10.1183/13993003.00564-2018.Read this paper
- Liang G, Fang X, Yang Y, et al. Silencing of CEMIP suppresses Wnt/β-catenin/Snail signaling transduction and inhibits EMT program of colorectal cancer cells. Acta Histochem. 2018,120(1):56-63. doi: 10.1016/j.acthis.2017.11.002Read this paper




![Immunofluorescent staining of human cell line BJ [Human fibroblast] shows localization to nucleoli fibrillar center & nuclear membrane.](https://atlasantibodies.s3.amazonaws.com/images/icc/hpa079449-icc-1.jpg)

