![Wild-type (WT) and CHCHD3 knockout (KO) 293T cell extracts (30 μg) were separated by 12% SDS-PAGE, and the membrane was blotted with CHCHD3 antibody [N1C3] (GTX119821) diluted at 1:2000. The HRP-conjugated anti-rabbit IgG antibody (GTX213110-01) was used to detect the primary antibody. Wild-type (WT) and CHCHD3 knockout (KO) 293T cell extracts (30 μg) were separated by 12% SDS-PAGE, and the membrane was blotted with CHCHD3 antibody [N1C3] (GTX119821) diluted at 1:2000. The HRP-conjugated anti-rabbit IgG antibody (GTX213110-01) was used to detect the primary antibody.](https://www.genetex.com/upload/website/prouct_img/normal/GTX119821/GTX119821_40366_20180209_WB_KO_watermark_w_23060519_342.webp)
Wild-type (WT) and CHCHD3 knockout (KO) 293T cell extracts (30 μg) were separated by 12% SDS-PAGE, and the membrane was blotted with CHCHD3 antibody [N1C3] (GTX119821) diluted at 1:2000. The HRP-conjugated anti-rabbit IgG antibody (GTX213110-01) was used to detect the primary antibody.
CHCHD3 antibody [N1C3]
GTX119821
ApplicationsWestern Blot, ImmunoHistoChemistry, ImmunoHistoChemistry Paraffin
Product group Antibodies
ReactivityHuman, Mouse
TargetCHCHD3
Overview
- SupplierGeneTex
- Product NameCHCHD3 antibody [N1C3]
- Delivery Days Customer9
- Application Supplier NoteWB: 1:500-1:10000. IHC-P: 1:100-1:1000. *Optimal dilutions/concentrations should be determined by the researcher.Not tested in other applications.
- ApplicationsWestern Blot, ImmunoHistoChemistry, ImmunoHistoChemistry Paraffin
- CertificationResearch Use Only
- ClonalityPolyclonal
- Concentration1 mg/ml
- ConjugateUnconjugated
- Gene ID54927
- Target nameCHCHD3
- Target descriptioncoiled-coil-helix-coiled-coil-helix domain containing 3
- Target synonymsMICOS19, MINOS3, Mic19, PPP1R22, MICOS complex subunit MIC19, coiled-coil-helix-coiled-coil-helix domain-containing protein 3, mitochondrial, mitochondrial contact site and cristae organizing system subunit 19, mitochondrial inner membrane organizing system 3, protein phosphatase 1, regulatory subunit 22
- HostRabbit
- IsotypeIgG
- Protein IDQ9NX63
- Protein NameMICOS complex subunit MIC19
- ReactivityHuman, Mouse
- Storage Instruction-20°C or -80°C,2°C to 8°C
- UNSPSC12352203
References
- Adriaenssens E, Asselbergh B, Rivera-Mejías P, et al. Small heat shock proteins operate as molecular chaperones in the mitochondrial intermembrane space. Nat Cell Biol. 2023,25(3):467-480. doi: 10.1038/s41556-022-01074-9Read this paper

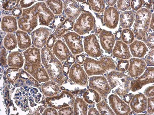
![CHCHD3 antibody [N1C3] detects CHCHD3 protein at cytoplasm in mouse kidney by immunohistochemical analysis. Sample: Paraffin-embedded mouse kidney. CHCHD3 antibody [N1C3] (GTX119821) diluted at 1:500.
Antigen Retrieval: Citrate buffer, pH 6.0, 15 min CHCHD3 antibody [N1C3] detects CHCHD3 protein at cytoplasm in mouse kidney by immunohistochemical analysis. Sample: Paraffin-embedded mouse kidney. CHCHD3 antibody [N1C3] (GTX119821) diluted at 1:500.
Antigen Retrieval: Citrate buffer, pH 6.0, 15 min](https://www.genetex.com/upload/website/prouct_img/normal/GTX119821/GTX119821_40366_20150717_IHC-P_M_w_23060519_818.webp)







