
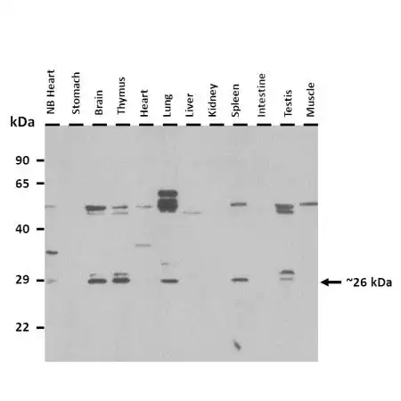
WB analysis of mouse liver tissue lysate using GTX04627 CHMP4C antibody. Dilution : 1 microg/mL
CHMP4C antibody
GTX04627
ApplicationsWestern Blot
Product group Antibodies
ReactivityHuman, Mouse
TargetChmp4c
Overview
- SupplierGeneTex
- Product NameCHMP4C antibody
- Delivery Days Customer9
- ApplicationsWestern Blot
- CertificationResearch Use Only
- ClonalityPolyclonal
- Concentration0.5 mg/ml
- ConjugateUnconjugated
- Gene ID66371
- Target nameChmp4c
- Target descriptioncharged multivesicular body protein 4C
- Target synonyms2010012P02Rik, 2210015K02Rik, 2310010I16Rik, Shax3, Snf7-3, charged multivesicular body protein 4c, Snf7 homologue associated with Alix 3, chromatin modifying protein 4C, chromatin-modifying protein 4c
- HostRabbit
- IsotypeIgG
- ReactivityHuman, Mouse
- Storage Instruction-20°C or -80°C,2°C to 8°C
- UNSPSC12352203
