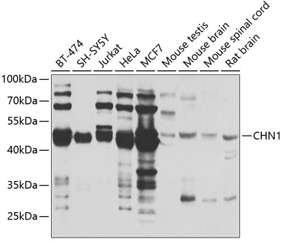
Western blot analysis of extracts of various cell lines using CHN1 Polyclonal Antibody at 1:1000 dilution.
CHN1 Polyclonal Antibody
E-AB-62675
Product group Antibodies
Overview
- SupplierElabscience
- Product NameCHN1 Polyclonal Antibody
- Delivery Days Customer12
- CertificationResearch Use Only
- Scientific DescriptionThis gene encodes GTPase-activating protein for ras-related p21-rac and a phorbol ester receptor. It is predominantly expressed in neurons, and plays an important role in neuronal signal-transduction mechanisms. Mutations in this gene are associated with Duanes retraction syndrome 2 (DURS2). Alternatively spliced transcript variants encoding different isoforms have been described for this gene.
- UNSPSC12352203




