
SH-SY-5Y whole cell extract and conditioned medium (30 μg) were separated by 7.5% SDS-PAGE, and the membranes were blotted with Chromogranin A antibody (GTX113165) diluted at 1:500 and competitor's antibody (sc-1488) diluted at 1:100. The HRP-conjugated anti-rabbit IgG antibody (GTX213110-01) was used to detect the primary antibody.
Chromogranin A antibody
GTX113165
ApplicationsWestern Blot, ImmunoHistoChemistry, ImmunoHistoChemistry Paraffin
Product group Antibodies
ReactivityHuman, Mouse
TargetCHGA
Overview
- SupplierGeneTex
- Product NameChromogranin A antibody
- Delivery Days Customer9
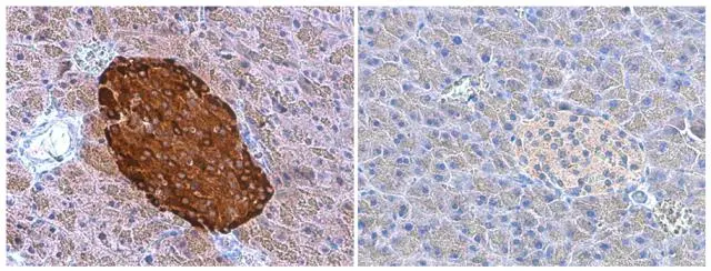
- Application Supplier NoteWB: 1:500-1:3000. IHC-P: 1:100-1:1000. *Optimal dilutions/concentrations should be determined by the researcher.Not tested in other applications.
- ApplicationsWestern Blot, ImmunoHistoChemistry, ImmunoHistoChemistry Paraffin
- CertificationResearch Use Only
- ClonalityPolyclonal
- Concentration0.15 mg/ml
- ConjugateUnconjugated
- Gene ID1113
- Target nameCHGA
- Target descriptionchromogranin A
- Target synonymsCGA, PHE5, PHES, chromogranin-A, SP-I, betagranin (N-terminal fragment of chromogranin A), catestatin, chromofungin, parathyroid secretory protein 1, pituitary secretory protein I
- HostRabbit
- IsotypeIgG
- Protein IDP10645
- Protein NameChromogranin-A
- Scientific DescriptionThe protein encoded by this gene is a member of the chromogranin/secretogranin family of neuroendocrine secretory proteins. It is found in secretory vesicles of neurons and endocrine cells. This gene product is a precursor to three biologically active peptides; vasostatin, pancreastatin, and parastatin. These peptides act as autocrine or paracrine negative modulators of the neuroendocrine system. Other peptides, including chromostatin, beta-granin, WE-14 and GE-25, are also derived from the full-length protein. However, biological activities for these molecules have not been shown. [provided by RefSeq]
- ReactivityHuman, Mouse
- Storage Instruction-20°C or -80°C,2°C to 8°C
- UNSPSC41116161







