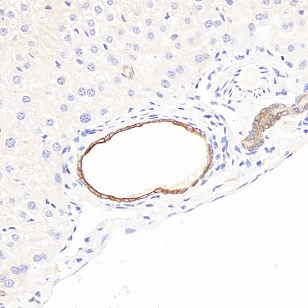
Immunohistochemistry analysis of paraffin-embedded mouse liver using CK-7 Polyclonal Antibody at dilution of 1:300.
CK-7 Polyclonal Antibody
E-AB-70092
Product group Antibodies
Overview
- SupplierElabscience
- Product NameCK-7 Polyclonal Antibody
- Delivery Days Customer12
- CertificationResearch Use Only
- Scientific DescriptionKeratins are a large family of proteins that form the intermediate filament cytoskeleton of epithelial cells,which are classified into two major sequence types. Type I keratins are a group of acidic intermediate filament proteins,including K9-K23,and the hair keratins Ha1-Ha8. Type II keratins are the basic or neutral courterparts to the acidic type I keratins,including K1-K8,and the hair keratins,Hb1-Hb6. KRT7,also named as cytokeratin 7,is one member of type II basic cytokeratin. It is specifically expressed in the simple epithelia lining the cavities of the internal organs and in the gland ducts and blood vessels,and their neoplasms. KRT7 is marker of epithelial tissues,but not present in carcinomas of stratified squamous cell origin.This antibody is specifically against KRT7.
- UNSPSC12352203

