
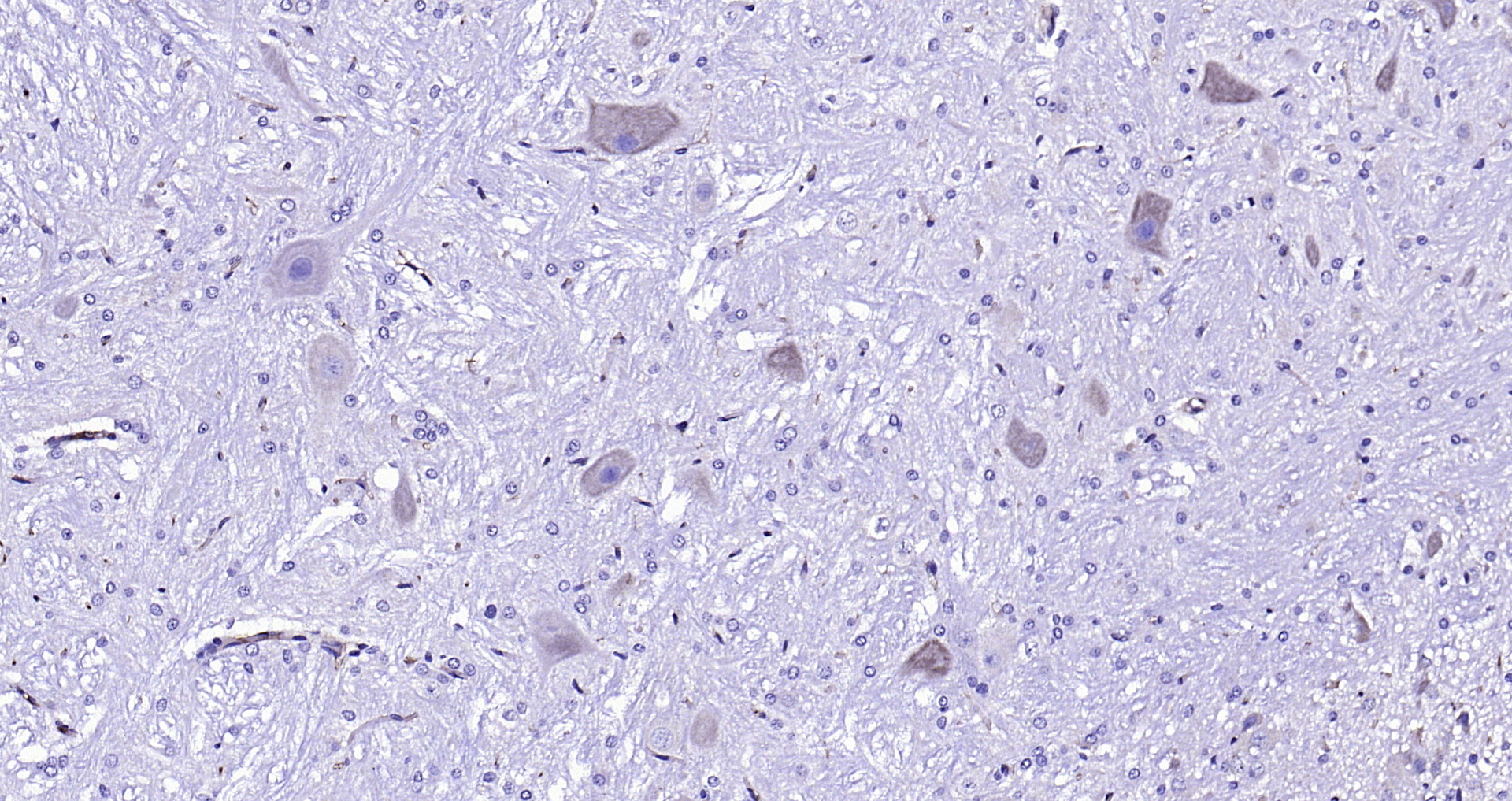
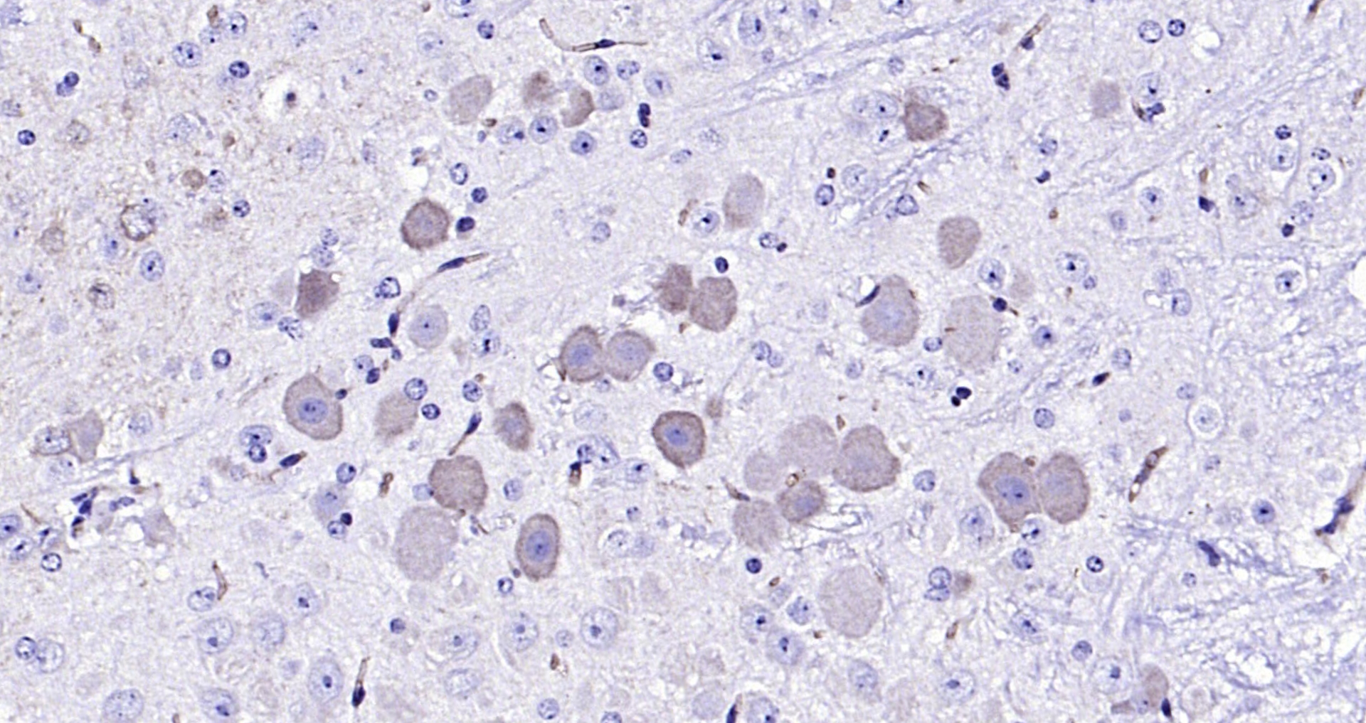
Paraformaldehyde-fixed, paraffin embedded rat brain; Antigen retrieval by boiling in sodium citrate buffer (pH6) for 15min; Block endogenous peroxidase by 3% hydrogen peroxide for 30 minutes; Blocking buffer (normal goat serum) at 37°C for 20min; Antibody incubation with Rabbit Anti-CLN8 Polyclonal Antibody, Unconjugated (bs-11715R) at 1:500 overnight at 4°C, followed by a conjugated secondary for 90 minutes and DAB staining.
CLN8 Polyclonal Antibody
BS-11715R
ApplicationsImmunoFluorescence, Western Blot, ELISA, ImmunoCytoChemistry, ImmunoHistoChemistry, ImmunoHistoChemistry Frozen, ImmunoHistoChemistry Paraffin
Product group Antibodies
TargetCLN8
Overview
- SupplierBioss
- Product NameCLN8 Polyclonal Antibody
- Delivery Days Customer16
- ApplicationsImmunoFluorescence, Western Blot, ELISA, ImmunoCytoChemistry, ImmunoHistoChemistry, ImmunoHistoChemistry Frozen, ImmunoHistoChemistry Paraffin
- Applications SupplierWB(1:300-5000), ELISA(1:500-1000), IHC-P(1:200-400), IHC-F(1:100-500), IF(IHC-P)(1:50-200), IF(IHC-F)(1:50-200), IF(ICC)(1:50-200)
- CertificationResearch Use Only
- ClonalityPolyclonal
- Concentration1 ug/ul
- ConjugateUnconjugated
- Gene ID2055
- Target nameCLN8
- Target descriptionCLN8 transmembrane ER and ERGIC protein
- Target synonymsC8orf61, EPMR, TLCD6, protein CLN8, ceroid-lipofuscinosis, neuronal 8
- HostRabbit
- IsotypeIgG
- Protein IDQ9UBY8
- Protein NameProtein CLN8
- Storage Instruction-20°C
- UNSPSC12352203





