
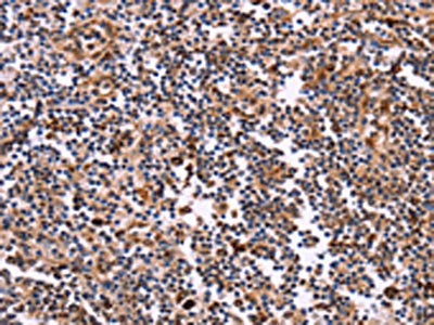
The image on the left is immunohistochemistry of paraffin-embedded Human cervical cancer tissue using CSB-PA593413(CLUAP1 Antibody) at dilution 1/50, on the right is treated with fusion protein. (Original magnification: x200)
CLUAP1 Antibody
CSB-PA593413
ApplicationsELISA, ImmunoHistoChemistry
Product group Antibodies
ReactivityHuman, Mouse, Rat
TargetCLUAP1
Overview
- SupplierCusabio
- Product NameCLUAP1 Antibody
- Delivery Days Customer20
- ApplicationsELISA, ImmunoHistoChemistry
- CertificationResearch Use Only
- ClonalityPolyclonal
- ConjugateUnconjugated
- Gene ID23059
- Target nameCLUAP1
- Target descriptionclusterin associated protein 1
- Target synonymsCFAP22, FAP22, IFT38, clusterin-associated protein 1, cilia and flagella associated protein 22, flagellar associated protein 22, qilin-like protein, homolog
- HostRabbit
- IsotypeIgG
- Protein IDQ96AJ1
- Protein NameClusterin-associated protein 1
- Scientific DescriptionThe protein encoded by this gene contains a single coiled-coil region. Alternative splicing results in multiple transcript variants and protein isoforms.
- ReactivityHuman, Mouse, Rat
- Storage Instruction-20°C or -80°C
- UNSPSC41116161





