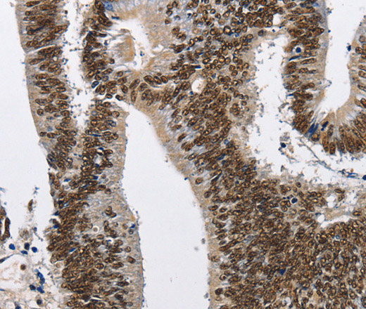
Immunohistochemistry of paraffin-embedded Human colon cancer tissue using CMTM2 Polyclonal Antibody at dilution 1:60
CMTM2 Polyclonal Antibody
E-AB-10237
Product group Antibodies
Overview
- SupplierElabscience
- Product NameCMTM2 Polyclonal Antibody
- Delivery Days Customer12
- Applications SupplierELISA IHC
- CertificationResearch Use Only
- Concentration0.8mg/ml
- Scientific DescriptionThis gene belongs to the chemokine-like factor gene superfamily, a novel family that links the chemokine and the transmembrane 4 superfamilies of signaling molecules. The protein encoded by this gene may play an important role in testicular development.
- UNSPSC12352203





