
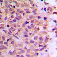
IHC-P analysis of human cervix cancer tissue using GTX34326 COPZ1 antibody. Negative control (the lower left coner) was secondary antibody only. Antigen retrieval : Tris-EDTA, pH8.0 under high-pressure and temperature Dilution : 1:100
COPZ1 antibody
GTX34326
ApplicationsWestern Blot, ImmunoHistoChemistry, ImmunoHistoChemistry Paraffin
Product group Antibodies
ReactivityHuman
TargetCOPZ1
Overview
- SupplierGeneTex
- Product NameCOPZ1 antibody
- Delivery Days Customer9
- Application Supplier NoteWB: 1:500-1:2000. IHC-P: 1:100-1:300. *Optimal dilutions/concentrations should be determined by the researcher.Not tested in other applications.
- ApplicationsWestern Blot, ImmunoHistoChemistry, ImmunoHistoChemistry Paraffin
- CertificationResearch Use Only
- ClonalityPolyclonal
- Concentration1 mg/ml
- ConjugateUnconjugated
- Gene ID22818
- Target nameCOPZ1
- Target descriptioncoat protein complex I subunit zeta 1
- Target synonymsCGI-120, COPZ, HSPC181, zeta-COP, zeta1-COP, coatomer subunit zeta-1, COPI coat complex subunit zeta 1, coatomer protein complex subunit zeta 1, coatomer protein complex, subunit zeta, zeta-1 COP, zeta-1-coat protein
- HostRabbit
- IsotypeIgG
- Protein IDP61923
- Protein NameCoatomer subunit zeta-1
- Scientific DescriptionThis gene encodes a subunit of the cytoplasmic coatamer protein complex, which is involved in autophagy and intracellular protein trafficking. The coatomer protein complex is comprised of seven subunits and functions as the coat protein of coat protein complex (COP)I-vesicles. Alternative splicing results in multiple transcript variants. [provided by RefSeq, Nov 2012]
- ReactivityHuman
- Storage Instruction-20°C or -80°C,2°C to 8°C
- UNSPSC12352203




