![Non-transfected (–) and transfected (+) 293T whole cell extracts (30 μg) were separated by 10% SDS-PAGE, and the membrane was blotted with COUP TF1 antibody [N1], N-term (GTX104801) diluted at 1:500. The HRP-conjugated anti-rabbit IgG antibody (GTX213110-01) was used to detect the primary antibody. Non-transfected (–) and transfected (+) 293T whole cell extracts (30 μg) were separated by 10% SDS-PAGE, and the membrane was blotted with COUP TF1 antibody [N1], N-term (GTX104801) diluted at 1:500. The HRP-conjugated anti-rabbit IgG antibody (GTX213110-01) was used to detect the primary antibody.](https://www.genetex.com/upload/website/prouct_img/normal/GTX104801/GTX104801_39708_20181109_WB_B_w_23060120_635.webp)
Non-transfected (–) and transfected (+) 293T whole cell extracts (30 μg) were separated by 10% SDS-PAGE, and the membrane was blotted with COUP TF1 antibody [N1], N-term (GTX104801) diluted at 1:500. The HRP-conjugated anti-rabbit IgG antibody (GTX213110-01) was used to detect the primary antibody.
COUP TF1 antibody [N1], N-term
GTX104801
ApplicationsImmunoFluorescence, Western Blot, ImmunoCytoChemistry, ImmunoHistoChemistry, ImmunoHistoChemistry Paraffin
Product group Antibodies
ReactivityHuman, Mouse
TargetNR2F1
Overview
- SupplierGeneTex
- Product NameCOUP TF1 antibody [N1], N-term
- Delivery Days Customer9
- Application Supplier NoteWB: 1:500-1:3000. ICC/IF: 1:100-1:1000. IHC-P: 1:100-1:1000. *Optimal dilutions/concentrations should be determined by the researcher.Not tested in other applications.
- ApplicationsImmunoFluorescence, Western Blot, ImmunoCytoChemistry, ImmunoHistoChemistry, ImmunoHistoChemistry Paraffin
- CertificationResearch Use Only
- ClonalityPolyclonal
- Concentration1 mg/ml
- ConjugateUnconjugated
- Gene ID7025
- Target nameNR2F1
- Target descriptionnuclear receptor subfamily 2 group F member 1
- Target synonymsBBOAS, BBSOAS, COUP-TFI, COUPTF1, EAR-3, EAR3, ERBAL3, SVP44, TCFCOUP1, TFCOUP1, COUP transcription factor 1, COUP transcription factor I, COUP-TF I, COUP-TF1, V-erbA-related protein 3, chicken ovalbumin upstream promoter-transcription factor I, transcription factor COUP 1 (chicken ovalbumin upstream promoter 1, v-erb-a homolog-like 3)
- HostRabbit
- IsotypeIgG
- Protein IDP10589
- Protein NameCOUP transcription factor 1
- Scientific DescriptionCoup (chicken ovalbumin upstream promoter) transcription factor binds to the ovalbumin promoter and, in conjunction with another protein (S300-II) stimulates initiation of transcription. Binds to both direct repeats and palindromes of the 5-AGGTCA-3 motif. Represses transcriptional activity of LHCG.
- ReactivityHuman, Mouse
- Storage Instruction-20°C or -80°C,2°C to 8°C
- UNSPSC12352203
References
- Malchenko S, Xie J, de Fatima Bonaldo M, et al. Onset of rosette formation during spontaneous neural differentiation of hESC and hiPSC colonies. Gene. 2014,534(2):400-7. doi: 10.1016/j.gene.2013.07.101Read this paper
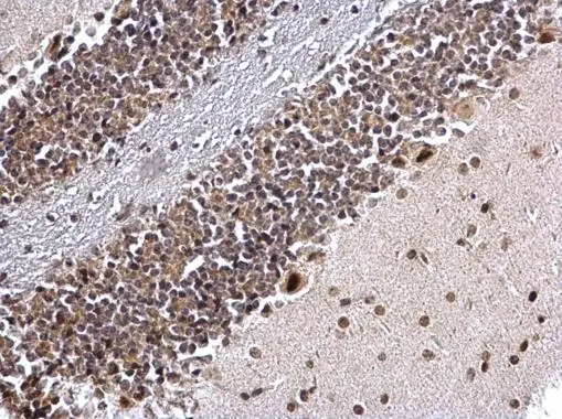
![COUP TF1 antibody [N1], N-term detects COUP TF1 protein at nucleus on mouse hind brain by immunohistochemical analysis. Sample: Paraffin-embedded mouse hind brain. COUP TF1 antibody [N1], N-term (GTX104801) diluted at 1:500.
Antigen Retrieval: Trilogy? (EDTA based, pH 8.0) buffer, 15min COUP TF1 antibody [N1], N-term detects COUP TF1 protein at nucleus on mouse hind brain by immunohistochemical analysis. Sample: Paraffin-embedded mouse hind brain. COUP TF1 antibody [N1], N-term (GTX104801) diluted at 1:500.
Antigen Retrieval: Trilogy? (EDTA based, pH 8.0) buffer, 15min](https://www.genetex.com/upload/website/prouct_img/normal/GTX104801/GTX104801_39708_20141114_IHC_M_w_23060120_271.webp)





