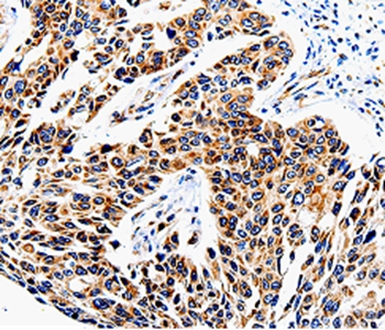
Immunohistochemistry of paraffin-embedded Human tonsil tissue using COX16 Polyclonal Antibody at dilution 1:50
COX16 Polyclonal Antibody
E-AB-10071
ApplicationsImmunoHistoChemistry
Product group Antibodies
TargetCOX16
Overview
- SupplierElabscience
- Product NameCOX16 Polyclonal Antibody
- Delivery Days Customer12
- ApplicationsImmunoHistoChemistry
- Applications SupplierELISA IHC
- CertificationResearch Use Only
- ClonalityPolyclonal
- Concentration0.6 mg/ml
- ConjugateUnconjugated
- Gene ID51241
- Target nameCOX16
- Target descriptioncytochrome c oxidase assembly factor COX16
- Target synonymsC14orf112, HSPC203, MC4DN22, hCOX16, cytochrome c oxidase assembly protein COX16 homolog, mitochondrial, COX16, cytochrome c oxidase assembly homolog
- HostRabbit
- IsotypeIgG
- Protein IDQ9P0S2
- Protein NameCytochrome c oxidase assembly protein COX16 homolog, mitochondrial
- Scientific DescriptionThis protein is encoded by COX16, corresponding to the previously uncharacterized open reading frame YJL003w of the yeast genome. COX16 was identified in studies of COX-deficient mutants previously assigned to complementation group G22 of a collection of yeast pet mutants. To determine its location, Cox16p was tagged with a Myc epitope at the C terminus.
- Storage Instruction-20°C
- UNSPSC41116161



