![Immunohistochemical analysis of paraffin-embedded zebrafish tissue, using COX5A antibody [N1C3] (GTX101487) at 1:300 dilution. Immunohistochemical analysis of paraffin-embedded zebrafish tissue, using COX5A antibody [N1C3] (GTX101487) at 1:300 dilution.](https://www.genetex.com/upload/website/prouct_img/normal/GTX101487/GTX101487_39995_IHC_Z_22111423_517.webp)
Immunohistochemical analysis of paraffin-embedded zebrafish tissue, using COX5A antibody [N1C3] (GTX101487) at 1:300 dilution.
COX5A antibody [N1C3]
GTX101487
ApplicationsImmunoFluorescence, Western Blot, ImmunoCytoChemistry, ImmunoHistoChemistry, ImmunoHistoChemistry Paraffin
Product group Antibodies
ReactivityHuman, Mouse, Zebra Fish
TargetCOX5A
Overview
- SupplierGeneTex
- Product NameCOX5A antibody [N1C3]
- Delivery Days Customer9
- Application Supplier NoteWB: 1:1000-1:10000. ICC/IF: 1:100-1:1000. IHC-P: 1:100-1:1000. *Optimal dilutions/concentrations should be determined by the researcher.Not tested in other applications.
- ApplicationsImmunoFluorescence, Western Blot, ImmunoCytoChemistry, ImmunoHistoChemistry, ImmunoHistoChemistry Paraffin
- CertificationResearch Use Only
- ClonalityPolyclonal
- Concentration1 mg/ml
- ConjugateUnconjugated
- Gene ID9377
- Target nameCOX5A
- Target descriptioncytochrome c oxidase subunit 5A
- Target synonymsCOX, COX-VA, MC4DN20, VA, cytochrome c oxidase subunit 5A, mitochondrial, cytochrome c oxidase polypeptide Va, cytochrome c oxidase polypeptide, mitochondrial, cytochrome c oxidase subunit Va, mitochondrial cytochrome c oxidase subunit Va
- HostRabbit
- IsotypeIgG
- Protein IDP20674
- Protein NameCytochrome c oxidase subunit 5A, mitochondrial
- Scientific DescriptionCytochrome c oxidase (COX) is the terminal enzyme of the mitochondrial respiratory chain. It is a multi-subunit enzyme complex that couples the transfer of electrons from cytochrome c to molecular oxygen and contributes to a proton electrochemical gradient across the inner mitochondrial membrane. The complex consists of 13 mitochondrial- and nuclear-encoded subunits. The mitochondrially-encoded subunits perform the electron transfer of proton pumping activities. The functions of the nuclear-encoded subunits are unknown but they may play a role in the regulation and assembly of the complex. This gene encodes the nuclear-encoded subunit Va of the human mitochondrial respiratory chain enzyme. A pseudogene COX5AP1 has been found in chromosome 14q22. [provided by RefSeq]
- ReactivityHuman, Mouse, Zebra Fish
- Storage Instruction-20°C or -80°C,2°C to 8°C
- UNSPSC41116161

![Various whole cell extracts (30 μg) were separated by 15% SDS-PAGE, and the membrane was blotted with COX5A antibody [N1C3] (GTX101487) diluted at 1:5000. The HRP-conjugated anti-rabbit IgG antibody (GTX213110-01) was used to detect the primary antibody, and the signal was developed with Trident ECL plus-Enhanced. Various whole cell extracts (30 μg) were separated by 15% SDS-PAGE, and the membrane was blotted with COX5A antibody [N1C3] (GTX101487) diluted at 1:5000. The HRP-conjugated anti-rabbit IgG antibody (GTX213110-01) was used to detect the primary antibody, and the signal was developed with Trident ECL plus-Enhanced.](https://www.genetex.com/upload/website/prouct_img/normal/GTX101487/GTX101487_39995_20220610_WB_w_23060100_684.webp)

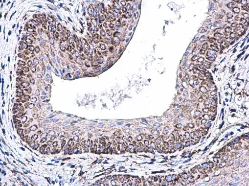
![COX5A antibody [N1C3] detects COX5A protein at mitochondria on mouse prostate by immunohistochemical analysis. Sample: Paraffin-embedded mouse prostate. COX5A antibody [N1C3] (GTX101487) diluted at 1:500.
Antigen Retrieval: Citrate buffer, pH 6.0, 15 min COX5A antibody [N1C3] detects COX5A protein at mitochondria on mouse prostate by immunohistochemical analysis. Sample: Paraffin-embedded mouse prostate. COX5A antibody [N1C3] (GTX101487) diluted at 1:500.
Antigen Retrieval: Citrate buffer, pH 6.0, 15 min](https://www.genetex.com/upload/website/prouct_img/normal/GTX101487/GTX101487_39995_20150410_IHC_M_w_23060100_195.webp)
![COX5A antibody [N1C3] detects COX5A protein at mitochondria on mouse cervix by immunohistochemical analysis. Sample: Paraffin-embedded mouse cervix. COX5A antibody [N1C3] (GTX101487) diluted at 1:500.
Antigen Retrieval: Citrate buffer, pH 6.0, 15 min COX5A antibody [N1C3] detects COX5A protein at mitochondria on mouse cervix by immunohistochemical analysis. Sample: Paraffin-embedded mouse cervix. COX5A antibody [N1C3] (GTX101487) diluted at 1:500.
Antigen Retrieval: Citrate buffer, pH 6.0, 15 min](https://www.genetex.com/upload/website/prouct_img/normal/GTX101487/GTX101487_39995_20150410_IHC_M_2_w_23060100_682.webp)
![Various tissue extracts (50 μg) were separated by 15% SDS-PAGE, and the membrane was blotted with COX5A antibody [N1C3] (GTX101487) diluted at 1:1000. The HRP-conjugated anti-rabbit IgG antibody (GTX213110-01) was used to detect the primary antibody. Various tissue extracts (50 μg) were separated by 15% SDS-PAGE, and the membrane was blotted with COX5A antibody [N1C3] (GTX101487) diluted at 1:1000. The HRP-conjugated anti-rabbit IgG antibody (GTX213110-01) was used to detect the primary antibody.](https://www.genetex.com/upload/website/prouct_img/normal/GTX101487/GTX101487_39995_20191018_WB_M_tissue_w_23060100_874.webp)






