
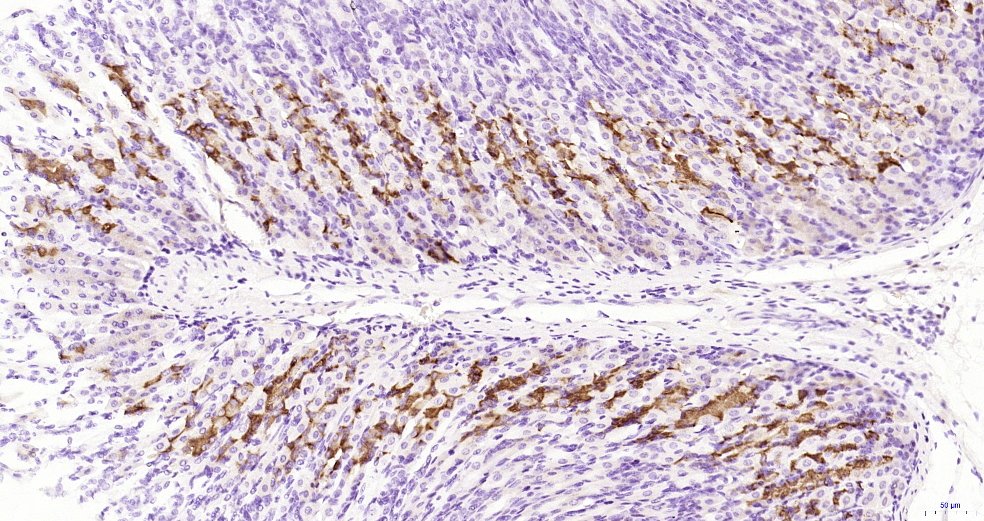
Paraformaldehyde-fixed, paraffin embedded Rat stomach; Antigen retrieval by boiling in sodium citrate buffer (pH6.0) for 15min; Block endogenous peroxidase by 3% hydrogen peroxide for 20 minutes; Blocking buffer (normal goat serum) at 37°C for 30min; Antibody incubation with CQ028 Polyclonal Antibody, Unconjugated (bs-10951R) at 1:200 overnight at 4°C, DAB staining.
CQ028 Polyclonal Antibody
BS-10951R
ApplicationsImmunoFluorescence, ELISA, ImmunoCytoChemistry, ImmunoHistoChemistry, ImmunoHistoChemistry Frozen, ImmunoHistoChemistry Paraffin
Product group Antibodies
ReactivityBovine, Equine, Human, Mouse, Porcine, Rabbit, Rat
TargetHID1
Overview
- SupplierBioss
- Product NameCQ028 Polyclonal Antibody
- Delivery Days Customer16
- ApplicationsImmunoFluorescence, ELISA, ImmunoCytoChemistry, ImmunoHistoChemistry, ImmunoHistoChemistry Frozen, ImmunoHistoChemistry Paraffin
- Applications SupplierELISA(1:500-1000), IHC-P(1:200-400), IHC-F(1:100-500), IF(IHC-P)(1:50-200), IF(IHC-F)(1:50-200), IF(ICC)(1:50-200)
- CertificationResearch Use Only
- ClonalityPolyclonal
- Concentration1 ug/ul
- ConjugateUnconjugated
- Gene ID283987
- Target nameHID1
- Target descriptionHID1 domain containing
- Target synonyms17orf28, C17orf28, DEE105, DMC1, HID-1, protein HID1, HID1 domain-containing protein, UPF0663 transmembrane protein C17orf28, down-regulated in multiple cancers 1, downregulated in multiple cancer 1, protein hid-1 homolog
- HostRabbit
- IsotypeIgG
- Protein IDQ8IV36
- Protein NameProtein HID1
- ReactivityBovine, Equine, Human, Mouse, Porcine, Rabbit, Rat
- Storage Instruction-20°C
- UNSPSC41116161






![IHC-P analysis of human liver tissue using GTX84750 C17orf28 antibody [2F4]. Antigen retrieval : Heat-induced epitope retrieval by 10mM citrate buffer, pH6.0, 100oC for 10min. Dilution : 1:50](https://www.genetex.com/upload/website/prouct_img/normal/GTX84750/GTX84750_3083_IHC-P_w_23061420_344.webp)