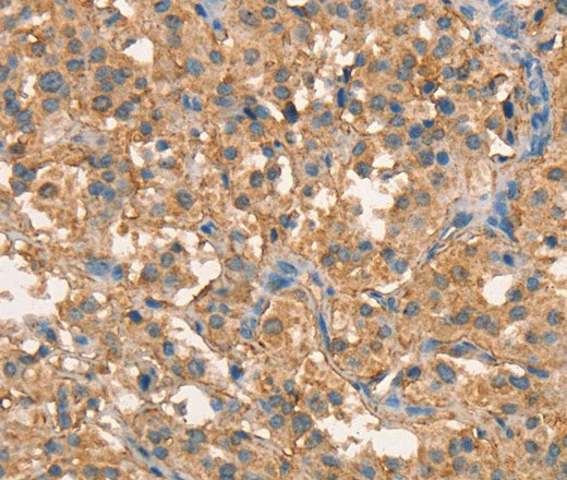
Immunohistochemistry of paraffin-embedded Human thyroid cancer tissue using CRELD1 Polyclonal Antibody at dilution 1:40
CRELD1 Polyclonal Antibody
E-AB-16357
Product group Antibodies
Overview
- SupplierElabscience
- Product NameCRELD1 Polyclonal Antibody
- Delivery Days Customer12
- Applications SupplierELISA IHC
- CertificationResearch Use Only
- Concentration0.5mg/ml
- Scientific DescriptionThis gene encodes a member of a subfamily of epidermal growth factor-related proteins. The encoded protein is characterized by a cysteine-rich with epidermal growth factor-like domain. This protein may function as a cell adhesion molecule. Mutations in this gene are the cause of atrioventricular septal defect. Alternate splicing results in multiple transcript variants.
- UNSPSC12352203




