
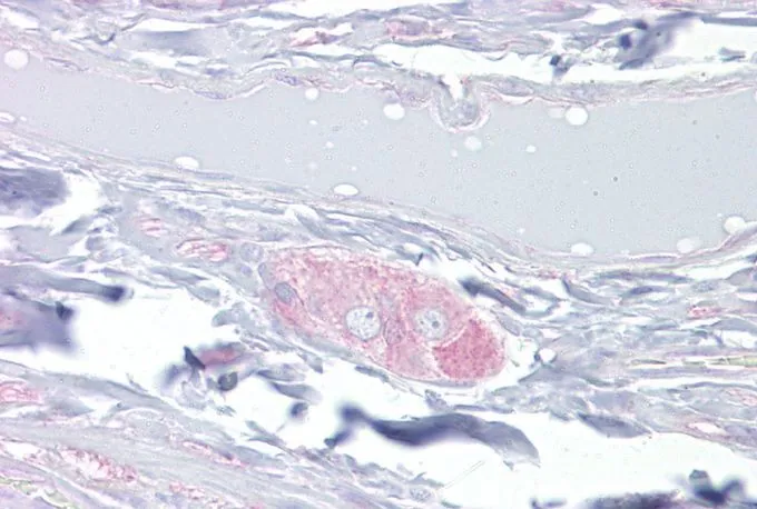
IHC-P analysis of human small intestine tissue using GTX45814 DPYSL3 antibody at 10 microg/ml.
CRMP4 antibody, Internal
GTX45814
ApplicationsWestern Blot, ImmunoHistoChemistry, ImmunoHistoChemistry Paraffin
Product group Antibodies
ReactivityHuman
TargetDPYSL3
Overview
- SupplierGeneTex
- Product NameCRMP4 antibody, Internal
- Delivery Days Customer9
- Application Supplier NoteWB: 0.2-2.5 ug/ml. IHC-P: 2-10 ug/ml. *Optimal dilutions/concentrations should be determined by the researcher.Not tested in other applications.
- ApplicationsWestern Blot, ImmunoHistoChemistry, ImmunoHistoChemistry Paraffin
- CertificationResearch Use Only
- ClonalityPolyclonal
- Concentration0.5-1 mg/ml
- ConjugateUnconjugated
- Gene ID1809
- Target nameDPYSL3
- Target descriptiondihydropyrimidinase like 3
- Target synonymsCRMP-4, CRMP4, DRP-3, DRP3, LCRMP, ULIP, ULIP-1, dihydropyrimidinase-related protein 3, collapsin response mediator protein 4 long, testicular secretory protein Li 7, unc-33-like phosphoprotein 1
- HostRabbit
- IsotypeIgG
- Protein IDQ14195
- Protein NameDihydropyrimidinase-related protein 3
- ReactivityHuman
- Storage Instruction-20°C or -80°C,2°C to 8°C
- UNSPSC12352203






