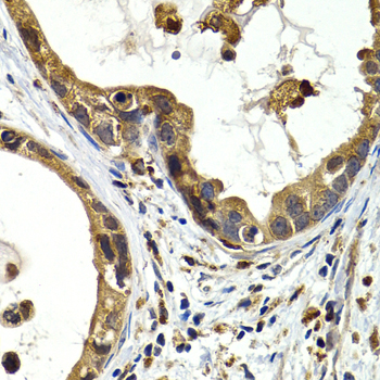
Immunohistochemistry of paraffin-embedded Human mammary gland using CTSS Polyclonal Antibody at dilution of 1:200 (40x lens).
CTSS Polyclonal Antibody
E-AB-64666
Product group Antibodies
Overview
- SupplierElabscience
- Product NameCTSS Polyclonal Antibody
- Delivery Days Customer12
- CertificationResearch Use Only
- Scientific DescriptionThe protein encoded by this gene, a member of the peptidase C1 family, is a lysosomal cysteine proteinase that may participate in the degradation of antigenic proteins to peptides for presentation on MHC class II molecules. The encoded protein can function as an elastase over a broad pH range in alveolar macrophages. Alternatively spliced transcript variants encoding distinct isoforms have been found for this gene.
- UNSPSC12352203





