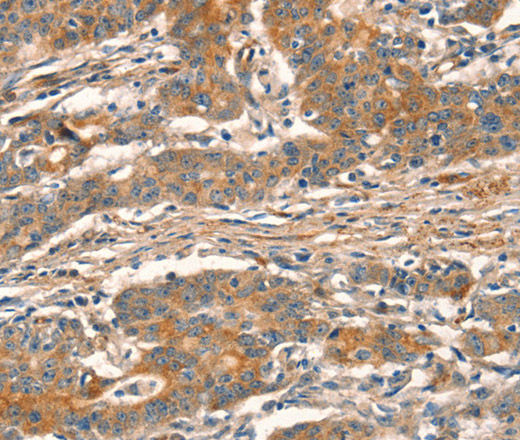
Immunohistochemistry of paraffin-embedded Human gasrtic cancer tissue using CUEDC2 Polyclonal Antibody at dilution 1:30
CUEDC2 Polyclonal Antibody
E-AB-11111
Product group Antibodies
Overview
- SupplierElabscience
- Product NameCUEDC2 Polyclonal Antibody
- Delivery Days Customer12
- Applications SupplierELISA IHC
- CertificationResearch Use Only
- Concentration0.5mg/ml
- Scientific DescriptionCUEDC2is involved in ubiquitin- and proteasome-mediated degradation of progesterone receptor and estrogen receptor (ER)-alpha.CUEDC2 reduced PRB protein content and promoted progesterone-induced PRB degradation via the ubiquitin-proteasome pathway.
- UNSPSC12352203







