
Immunofluorescence analysis of paraformaldehyde-fixed MCF-7, using CUGBP2(GTX115463) antibody at 1:500 dilution.
CUGBP2 antibody [N1N3]
GTX115463
ApplicationsImmunoFluorescence, Western Blot, ImmunoCytoChemistry, ImmunoHistoChemistry, ImmunoHistoChemistry Paraffin
Product group Antibodies
ReactivityHuman, Mouse, Rat
TargetCELF2
Overview
- SupplierGeneTex
- Product NameCUGBP2 antibody [N1N3]
- Delivery Days Customer9
- Application Supplier NoteWB: 1:500-1:3000. ICC/IF: 1:100-1:1000. IHC-P: 1:100-1:1000. *Optimal dilutions/concentrations should be determined by the researcher.Not tested in other applications.
- ApplicationsImmunoFluorescence, Western Blot, ImmunoCytoChemistry, ImmunoHistoChemistry, ImmunoHistoChemistry Paraffin
- CertificationResearch Use Only
- ClonalityPolyclonal
- Concentration0.74 mg/ml
- ConjugateUnconjugated
- Gene ID10659
- Target nameCELF2
- Target descriptionCUGBP Elav-like family member 2
- Target synonymsBRUNOL3, CELF-2, CUG-BP2, CUGBP2, DEE97, ETR-3, ETR3, NAPOR, CUGBP Elav-like family member 2, CUG triplet repeat RNA-binding protein 2, CUG-BP- and ETR-3-like factor 2, ELAV-type RNA-binding protein 3, KDM2B/CELF2 fusion, RNA-binding protein BRUNOL-3, bruno-like protein 3, neuroblastoma apoptosis-related RNA-binding protein
- HostRabbit
- IsotypeIgG
- Protein IDO95319
- Protein NameCUGBP Elav-like family member 2
- Scientific DescriptionMembers of the CELF/BRUNOL protein family contain two N-terminal RNA recognition motif (RRM) domains, one C-terminal RRM domain, and a divergent segment of 160-230 aa between the second and third RRM domains. Members of this protein family regulate pre-mRNA alternative splicing and may also be involved in mRNA editing, and translation. Alternative splicing results in multiple transcript variants encoding different isoforms. [provided by RefSeq]
- ReactivityHuman, Mouse, Rat
- Storage Instruction-20°C or -80°C,2°C to 8°C
- UNSPSC41116161
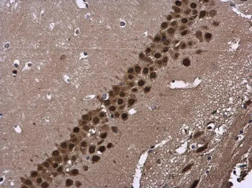
![CUGBP2 antibody [N1N3] detects CUGBP2 protein at cytoplasm and nucleus in mouse brain by immunohistochemical analysis. Sample: Paraffin-embedded mouse brain. CUGBP2 antibody [N1N3] (GTX115463) diluted at 1:500.
Antigen Retrieval: Citrate buffer, pH 6.0, 15 min CUGBP2 antibody [N1N3] detects CUGBP2 protein at cytoplasm and nucleus in mouse brain by immunohistochemical analysis. Sample: Paraffin-embedded mouse brain. CUGBP2 antibody [N1N3] (GTX115463) diluted at 1:500.
Antigen Retrieval: Citrate buffer, pH 6.0, 15 min](https://www.genetex.com/upload/website/prouct_img/normal/GTX115463/GTX115463_40401_20150724_IHC-P_M_w_23060519_727.webp)








