
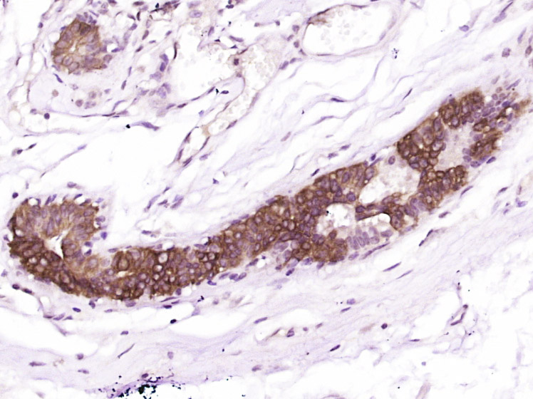
Paraformaldehyde-fixed, paraffin embedded human colon carcinoma tissue; Antigen retrieval by boiling in sodium citrate buffer(pH6) for 15min; Block endogenous peroxidase by 3% hydrogen peroxide for 30 minutes; Blocking buffer (normal goat serum) at 37°C for 20min; Antibody incubation with Rabbit Anti-CWG43 Polyclonal Antibody, Unconjugated (bs-9959R) at 1:400 overnight at 4°C, followed by a conjugated secondary and DAB staining
CWH43 Polyclonal Antibody
BS-9959R
ApplicationsImmunoFluorescence, Western Blot, ImmunoHistoChemistry, ImmunoHistoChemistry Frozen, ImmunoHistoChemistry Paraffin
Product group Antibodies
ReactivityHuman, Mouse, Rat
TargetCWH43
Overview
- SupplierBioss
- Product NameCWH43 Polyclonal Antibody
- Delivery Days Customer16
- ApplicationsImmunoFluorescence, Western Blot, ImmunoHistoChemistry, ImmunoHistoChemistry Frozen, ImmunoHistoChemistry Paraffin
- Applications SupplierWB(WB=1:500-2000), IHC-P(IHC-P=1:100-500), IHC-F(IHC-F=1:100-500), IF(IF=1:100-500)
- CertificationResearch Use Only
- ClonalityPolyclonal
- Concentration1 ug/ul
- ConjugateUnconjugated
- Gene ID80157
- Target nameCWH43
- Target descriptioncell wall biogenesis 43 C-terminal homolog
- Target synonymsCWH43-C, PGAP2IP, PGAP2-interacting protein, cell wall biogenesis protein 43 C-terminal homolog
- HostRabbit
- IsotypeIgG
- Protein IDQ9H720
- Protein NamePGAP2-interacting protein
- ReactivityHuman, Mouse, Rat
- Storage Instruction-20°C
- UNSPSC41116161



