![ELISA analysis of antigen using GTX60457 Cytokeratin 19 antibody [1H6]. Red : Control antigen 100ng Purple : Antigen 10ng Green : Antigen 50ng Blue : Antigen 100ng ELISA analysis of antigen using GTX60457 Cytokeratin 19 antibody [1H6]. Red : Control antigen 100ng Purple : Antigen 10ng Green : Antigen 50ng Blue : Antigen 100ng](https://www.genetex.com/upload/website/prouct_img/normal/GTX60457/GTX60457_20170912_ELISA_w_23061123_516.webp)
ELISA analysis of antigen using GTX60457 Cytokeratin 19 antibody [1H6]. Red : Control antigen 100ng Purple : Antigen 10ng Green : Antigen 50ng Blue : Antigen 100ng
Cytokeratin 19 antibody [1H6]
GTX60457
ApplicationsWestern Blot, ELISA, ImmunoHistoChemistry, ImmunoHistoChemistry Paraffin
Product group Antibodies
ReactivityHuman
TargetKRT19
Overview
- SupplierGeneTex
- Product NameCytokeratin 19 antibody [1H6]
- Delivery Days Customer9
- Application Supplier NoteWB: 1/500 - 1/2000. IHC-P: 1/200 - 1/1000. ELISA: 1/10000. *Optimal dilutions/concentrations should be determined by the researcher.Not tested in other applications.
- ApplicationsWestern Blot, ELISA, ImmunoHistoChemistry, ImmunoHistoChemistry Paraffin
- CertificationResearch Use Only
- ClonalityMonoclonal
- Clone ID1H6
- ConjugateUnconjugated
- Gene ID3880
- Target nameKRT19
- Target descriptionkeratin 19
- Target synonymsCK19, K19, K1CS, keratin, type I cytoskeletal 19, 40-kDa keratin intermediate filament, CK-19, cytokeratin 19, keratin 19, type I, keratin, type I, 40-kd
- HostMouse
- IsotypeIgG1
- Protein IDP08727
- Protein NameKeratin, type I cytoskeletal 19
- Scientific DescriptionThe protein encoded by this gene is a member of the keratin family. The keratins are intermediate filament proteins responsible for the structural integrity of epithelial cells and are subdivided into cytokeratins and hair keratins. The type I cytokeratins consist of acidic proteins which are arranged in pairs of heterotypic keratin chains. Unlike its related family members, this smallest known acidic cytokeratin is not paired with a basic cytokeratin in epithelial cells. It is specifically expressed in the periderm, the transiently superficial layer that envelopes the developing epidermis. The type I cytokeratins are clustered in a region of chromosome 17q12-q21. [provided by RefSeq, Jul 2008]
- ReactivityHuman
- Storage Instruction-20°C or -80°C,2°C to 8°C
- UNSPSC12352203
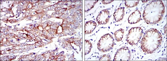
![IHC-P analysis of stomach cancer tissue (left) and stomach tissue (right) using GTX60457 Cytokeratin 19 antibody [1H6]. IHC-P analysis of stomach cancer tissue (left) and stomach tissue (right) using GTX60457 Cytokeratin 19 antibody [1H6].](https://www.genetex.com/upload/website/prouct_img/normal/GTX60457/GTX60457_20170912_IHC-P_1_w_23061123_122.webp)
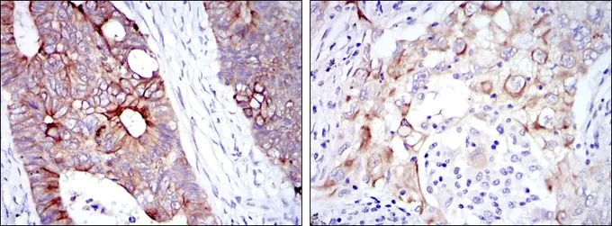
![IHC-P analysis of rectum cancer tissue (left) and lung cancer tissue (right) using GTX60457 Cytokeratin 19 antibody [1H6]. IHC-P analysis of rectum cancer tissue (left) and lung cancer tissue (right) using GTX60457 Cytokeratin 19 antibody [1H6].](https://www.genetex.com/upload/website/prouct_img/normal/GTX60457/GTX60457_20170912_IHC-P_w_23061123_461.webp)
![WB analysis of T47D (1), MCF-7 (2), SKBR-3 (3), HepG2 (4), Caco-2 (5) and SW620 (6) cell lysate using GTX60457 Cytokeratin 19 antibody [1H6]. WB analysis of T47D (1), MCF-7 (2), SKBR-3 (3), HepG2 (4), Caco-2 (5) and SW620 (6) cell lysate using GTX60457 Cytokeratin 19 antibody [1H6].](https://www.genetex.com/upload/website/prouct_img/normal/GTX60457/GTX60457_20170912_WB_w_23061123_823.webp)




![WB analysis of MCF-7 cell lysates using GTX80226 Cytokeratin 19 antibody [BA-17] (Biotin).](https://www.genetex.com/upload/website/prouct_img/normal/GTX80226/GTX80226_20191028_WB_1_w_23061322_765.webp)
![FACS (intracellular staining) analysis of MCF-7 cells using GTX80248 Cytokeratin 19 antibody [A53-B/A2] (Biotin).](https://www.genetex.com/upload/website/prouct_img/normal/GTX80248/GTX80248_20191028_FACS_1_w_23061322_478.webp)