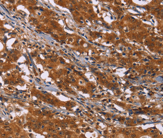
Immunohistochemistry of paraffin-embedded Human gasrtic cancer tissue using DCBLD2 Polyclonal Antibody at dilution 1:50
DCBLD2 Polyclonal Antibody
E-AB-14932
Product group Antibodies
Overview
- SupplierElabscience
- Product NameDCBLD2 Polyclonal Antibody
- Delivery Days Customer12
- Applications SupplierELISA IHC
- CertificationResearch Use Only
- Concentration0.2mg/ml
- Scientific DescriptionCLCP1 (CUB, LCCL and coagulation factor V/VIII-homology domains protein 1), also known as DCBLD2 (discoidin, CUB and LCCL domain containing 2) or ESDN, is a 775 amino acid single-pass type I membrane protein that contains one CUB domain, one LCCL domain and one F5/8 type C domain. Expressed at high levels in heart, testis and skeletal muscle, CLCP1 is thought to regulate vascular smooth muscle cell (VSMC) proliferation and remodeling and may be involved in the transformation and metastasis of various cancers, such as metastatic lung cancer and gastric carcinoma.
- UNSPSC12352203





