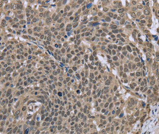
Immunohistochemistry of paraffin-embedded Human cervical cancer tissue using DCTN4 Polyclonal Antibody at dilution 1:30
DCTN4 Polyclonal Antibody
E-AB-14938
Product group Antibodies
Overview
- SupplierElabscience
- Product NameDCTN4 Polyclonal Antibody
- Delivery Days Customer12
- Applications SupplierELISA IHC
- CertificationResearch Use Only
- Concentration0.6mg/ml
- Scientific DescriptionDynactin is a multisubunit complex and a required cofactor for most, or all, of the cellular processes powered by the microtubule-based motor cytoplasmic dynein . Dynactin contains a short actin-related protein 1 (Arp1) filament with capZ at the barbed end and p62 at the pointed end . The p62 subunit is an integral component of 20 S dynactin with a highly conserved cysteine-rich motif that interacts directly with Arp1. Dynactin p62 has a punctate cytoplasmic distribution as well as centrosomal distribution typical of dynactin . In addition, Dynactin p62 is distributed in the nucleus at very high expression levels . Due to the structural composition of dynactin, the p62 subunit is implicated in Arp1 pointed-end binding and in linking dynein and dynactin to the cortical cytoskeleton.
- UNSPSC12352203




