
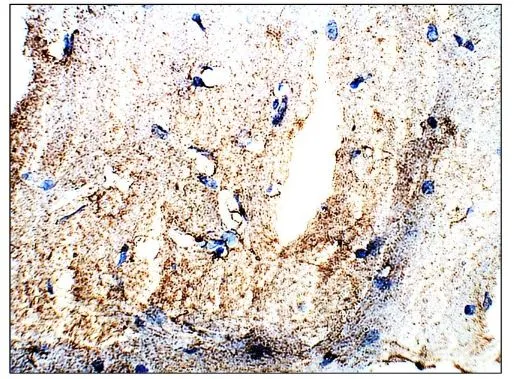
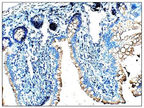
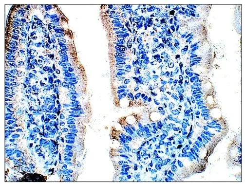
IHC-P analysis of mouse stomach tissue using GTX47896 DEK antibody. Dilution : 1:50
DEK antibody
GTX47896
ApplicationsImmunoPrecipitation, Western Blot, ELISA, ImmunoHistoChemistry, ImmunoHistoChemistry Paraffin
Product group Antibodies
ReactivityHuman, Monkey, Mouse, Rat
TargetDEK
Overview
- SupplierGeneTex
- Product NameDEK antibody
- Delivery Days Customer9
- Application Supplier NoteWB: 1:500-1:750. IP: 1:200. ELISA: 1:10000. *Optimal dilutions/concentrations should be determined by the researcher.Not tested in other applications.
- ApplicationsImmunoPrecipitation, Western Blot, ELISA, ImmunoHistoChemistry, ImmunoHistoChemistry Paraffin
- CertificationResearch Use Only
- ClonalityPolyclonal
- Concentration0.65 mg/ml
- ConjugateUnconjugated
- Gene ID7913
- Target nameDEK
- Target descriptionDEK proto-oncogene
- Target synonymsD6S231E, protein DEK, DEK oncogene (DNA binding)
- HostRabbit
- IsotypeIgG
- Protein IDP35659
- Protein NameProtein DEK
- Scientific DescriptionThis gene encodes a protein with one SAP domain. This protein binds to cruciform and superhelical DNA and induces positive supercoils into closed circular DNA, and is also involved in splice site selection during mRNA processing. Chromosomal aberrations involving this region, increased expression of this gene, and the presence of antibodies against this protein are all associated with various diseases. Two transcript variants encoding different isoforms have been found for this gene. [provided by RefSeq, Sep 2008]
- ReactivityHuman, Monkey, Mouse, Rat
- Storage Instruction-20°C or -80°C,2°C to 8°C
- UNSPSC41116161










