
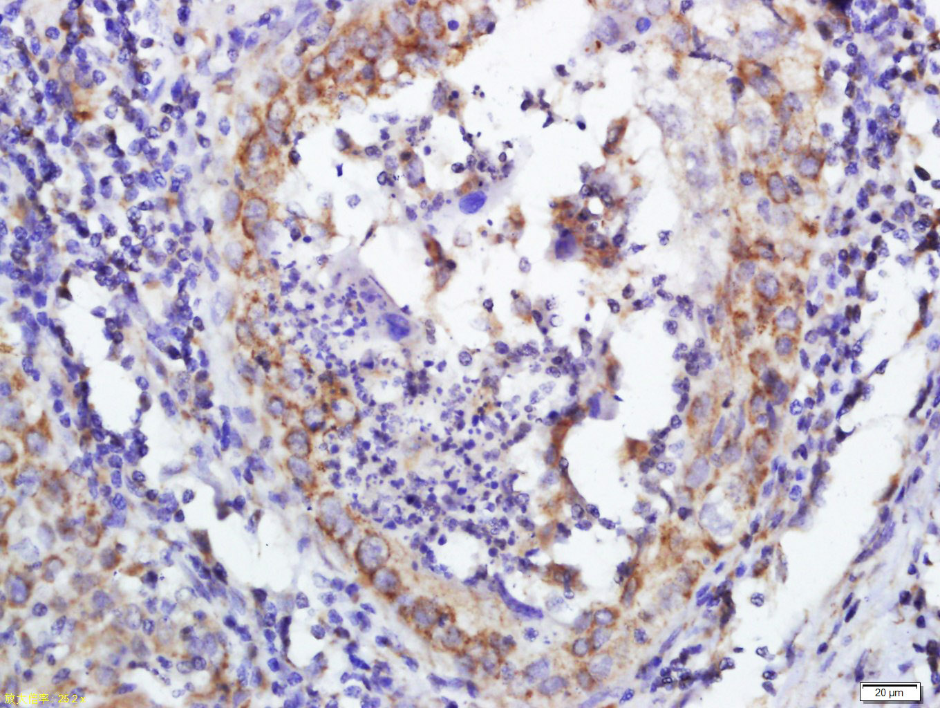
Paraformaldehyde-fixed, paraffin embedded Human colon cancer; Antigen retrieval by boiling in sodium citrate buffer (pH6.0) for 15min; Block endogenous peroxidase by 3% hydrogen peroxide for 20 minutes; Blocking buffer (normal goat serum) at 37°C for 30min; Antibody incubation with DERLIN-1 Polyclonal Antibody, Unconjugated (bs-11268R) at 1:600 overnight at 4°C, DAB staining.
DERLIN-1 Polyclonal Antibody
BS-11268R
ApplicationsImmunoFluorescence, ELISA, ImmunoCytoChemistry, ImmunoHistoChemistry, ImmunoHistoChemistry Frozen, ImmunoHistoChemistry Paraffin
Product group Antibodies
TargetDERL1
Overview
- SupplierBioss
- Product NameDERLIN-1 Polyclonal Antibody
- Delivery Days Customer16
- ApplicationsImmunoFluorescence, ELISA, ImmunoCytoChemistry, ImmunoHistoChemistry, ImmunoHistoChemistry Frozen, ImmunoHistoChemistry Paraffin
- Applications SupplierELISA(1:500-1000), IHC-P(1:200-400), IHC-F(1:100-500), IF(IHC-P)(1:50-200), IF(IHC-F)(1:50-200), IF(ICC)(1:50-200)
- CertificationResearch Use Only
- ClonalityPolyclonal
- Concentration1 ug/ul
- ConjugateUnconjugated
- Gene ID79139
- Target nameDERL1
- Target descriptionderlin 1
- Target synonymsDER-1, DER1, derlin-1, derlin-1, DERtrin-1, Der1-like domain family, member 1, degradation in endoplasmic reticulum protein 1
- HostRabbit
- IsotypeIgG
- Protein IDQ9BUN8
- Protein NameDerlin-1
- Storage Instruction-20°C
- UNSPSC12352203




