
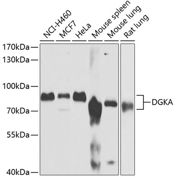
WB analysis of various sample lysates using GTX32558 DGKA antibody. Dilution : 1:1000 Loading : 25μg per lane
DGKA antibody
GTX32558
ApplicationsWestern Blot
Product group Antibodies
ReactivityHuman, Mouse, Rat
TargetDGKA
Overview
- SupplierGeneTex
- Product NameDGKA antibody
- Delivery Days Customer9
- Application Supplier NoteWB: 1:500 - 1:2000. *Optimal dilutions/concentrations should be determined by the researcher.Not tested in other applications.
- ApplicationsWestern Blot
- CertificationResearch Use Only
- ClonalityPolyclonal
- ConjugateUnconjugated
- Gene ID1606
- Target nameDGKA
- Target descriptiondiacylglycerol kinase alpha
- Target synonymsDAGK, DAGK1, DGK-alpha, diacylglycerol kinase alpha, 80 kDa diacylglycerol kinase, DAG kinase alpha, diacylglycerol kinase, alpha 80kDa, diglyceride kinase alpha
- HostRabbit
- IsotypeIgG
- Protein IDP23743
- Protein NameDiacylglycerol kinase alpha
- Scientific DescriptionThe protein encoded by this gene belongs to the eukaryotic diacylglycerol kinase family. It acts as a modulator that competes with protein kinase C for the second messenger diacylglycerol in intracellular signaling pathways. It also plays an important role in the resynthesis of phosphatidylinositols and phosphorylating diacylglycerol to phosphatidic acid. Several transcript variants encoding different isoforms have been identified for this gene. [provided by RefSeq, Apr 2017]
- ReactivityHuman, Mouse, Rat
- Storage Instruction-20°C or -80°C,2°C to 8°C
- UNSPSC41116161







