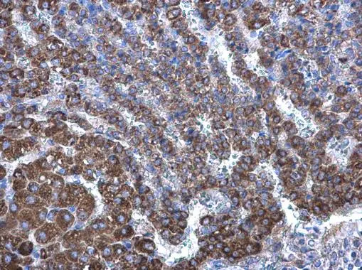
Immunohistochemistry of paraffin-embedded Human breast cancer tissue using DHCR24 Polyclonal Antibody at dilution 1:40
DHCR24 Polyclonal Antibody
E-AB-15380
Product group Antibodies
Overview
- SupplierElabscience
- Product NameDHCR24 Polyclonal Antibody
- Delivery Days Customer12
- Applications SupplierELISA IHC
- CertificationResearch Use Only
- Concentration0.7mg/ml
- Scientific DescriptionThis gene encodes a flavin adenine dinucleotide (FAD)-dependent oxidoreductase which catalyzes the reduction of the delta-24 double bond of sterol intermediates during cholesterol biosynthesis. The protein contains a leader sequence that directs it to the endoplasmic reticulum membrane. Missense mutations in this gene have been associated with desmosterolosis. Also, reduced expression of the gene occurs in the temporal cortex of Alzheimer disease patients and overexpression has been observed in adrenal gland cancer cells.
- UNSPSC12352203





![Seladin 1 antibody [N1C2] detects Seladin 1 protein at cytoplasm on rat adrenal gland by immunohistochemical analysis. Sample: Paraffin-embedded rat adrenal gland. Seladin 1 antibody [N1C2] (GTX103712) diluted at 1:500.
Antigen Retrieval: Trilogy? (EDTA based, pH 8.0) buffer, 15min](https://www.genetex.com/upload/website/prouct_img/normal/GTX103712/GTX103712_39876_20150123_IHC_R_w_23060119_676.webp)
