
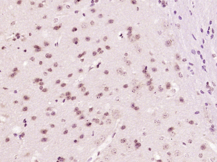
Paraformaldehyde-fixed, paraffin embedded Rat brain; Antigen retrieval by boiling in sodium citrate buffer (pH6.0) for 15min; Block endogenous peroxidase by 3% hydrogen peroxide for 20 minutes; Blocking buffer (normal goat serum) at 37°C for 30min; Antibody incubation with DIP2B Polyclonal Antibody, Unconjugated (bs-14332R) at 1:400 overnight at 4°C, DAB staining.
DIP2B Polyclonal Antibody
BS-14332R
ApplicationsImmunoFluorescence, Western Blot, ELISA, ImmunoCytoChemistry, ImmunoHistoChemistry, ImmunoHistoChemistry Frozen, ImmunoHistoChemistry Paraffin
Product group Antibodies
ReactivityBovine, Canine, Human, Mouse, Rabbit, Rat
TargetDIP2B
Overview
- SupplierBioss
- Product NameDIP2B Polyclonal Antibody
- Delivery Days Customer16
- ApplicationsImmunoFluorescence, Western Blot, ELISA, ImmunoCytoChemistry, ImmunoHistoChemistry, ImmunoHistoChemistry Frozen, ImmunoHistoChemistry Paraffin
- Applications SupplierWB(1:300-5000), ELISA(1:500-1000), IHC-P(1:200-400), IHC-F(1:100-500), IF(IHC-P)(1:50-200), IF(IHC-F)(1:50-200), IF(ICC)(1:50-200)
- CertificationResearch Use Only
- ClonalityPolyclonal
- Concentration1 ug/ul
- ConjugateUnconjugated
- Gene ID57609
- Target nameDIP2B
- Target descriptiondisco interacting protein 2 homolog B
- Target synonymsdisco-interacting protein 2 homolog B, DIP2 disco-interacting protein 2 homolog B
- HostRabbit
- IsotypeIgG
- Protein IDQ9P265
- Protein NameDisco-interacting protein 2 homolog B
- ReactivityBovine, Canine, Human, Mouse, Rabbit, Rat
- Storage Instruction-20°C
- UNSPSC12352203



