
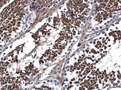
DNALI1 antibody detects DNALI1 protein at cytoplasm in mouse muscle by immunohistochemical analysis. Sample: Paraffin-embedded mouse muscle. DNALI1 antibody (GTX116217) diluted at 1:500.
Antigen Retrieval: Citrate buffer, pH 6.0, 15 min
DNALI1 antibody
GTX116217
ApplicationsImmunoFluorescence, Western Blot, ImmunoCytoChemistry, ImmunoHistoChemistry, ImmunoHistoChemistry Paraffin
Product group Antibodies
ReactivityHuman, Mouse
TargetDNALI1
Overview
- SupplierGeneTex
- Product NameDNALI1 antibody
- Delivery Days Customer9
- Application Supplier NoteWB: 1:500-1:3000. ICC/IF: 1:100-1:1000. IHC-P: 1:100-1:1000. *Optimal dilutions/concentrations should be determined by the researcher.Not tested in other applications.
- ApplicationsImmunoFluorescence, Western Blot, ImmunoCytoChemistry, ImmunoHistoChemistry, ImmunoHistoChemistry Paraffin
- CertificationResearch Use Only
- ClonalityPolyclonal
- Concentration0.9 mg/ml
- ConjugateUnconjugated
- Gene ID7802
- Target nameDNALI1
- Target descriptiondynein axonemal light intermediate chain 1
- Target synonymsP28, SPGF83, dJ423B22.5, hp28, axonemal dynein light intermediate polypeptide 1, dJ423B22.5 (axonemal dynein light chain (hp28)), dynein, axonemal, light intermediate polypeptide 1, inner dynein arm light chain, axonemal, inner dynein arm, homolog of chlamydomonas, inner dynein arm, homolog of clamydomonas
- HostRabbit
- IsotypeIgG
- Protein IDO14645
- Protein NameAxonemal dynein light intermediate polypeptide 1
- Scientific DescriptionThis gene is the human homolog of the Chlamydomonas inner dynein arm gene, p28. The precise function of this gene is not known, however, it is a potential candidate for immotile cilia syndrome (ICS). Ultrastructural defects of the inner dynein arms are seen in patients with ICS. Immotile mutant strains of Chlamydomonas, a biflagellated algae, exhibit similar defects. [provided by RefSeq]
- ReactivityHuman, Mouse
- Storage Instruction-20°C or -80°C,2°C to 8°C
- UNSPSC41116161






