
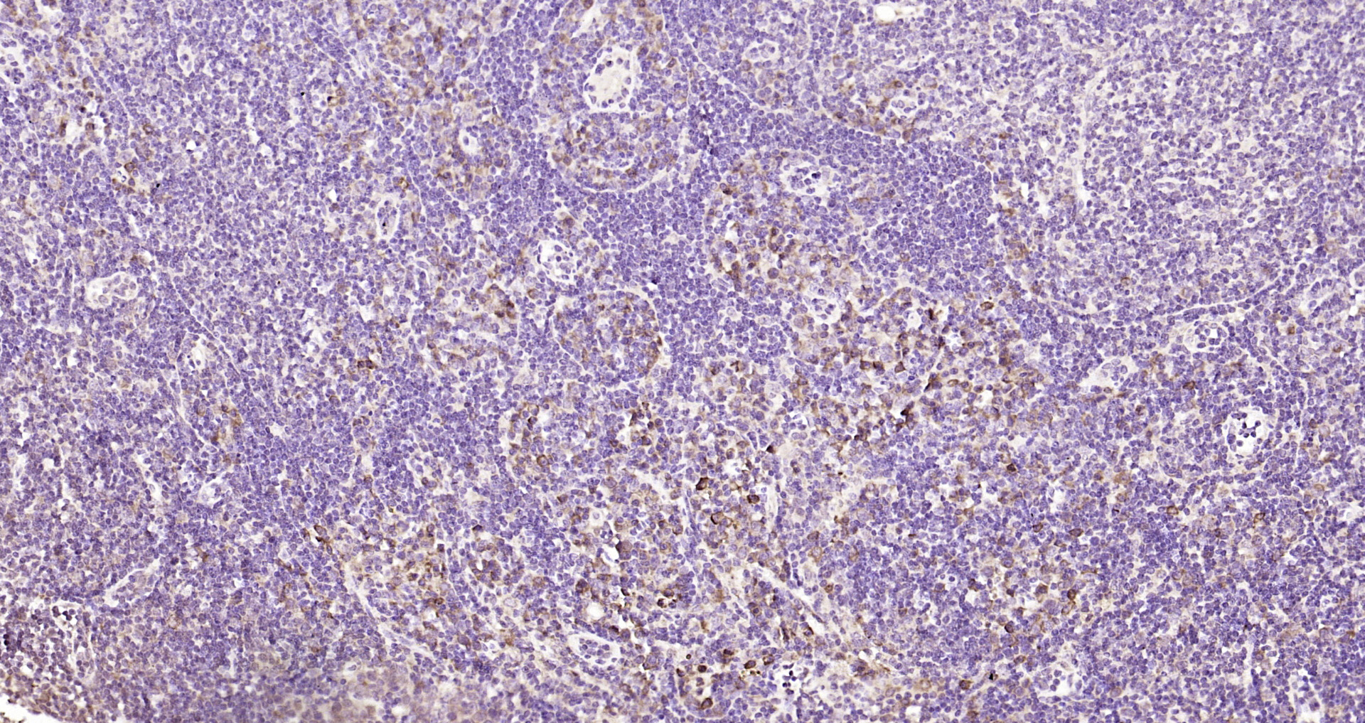
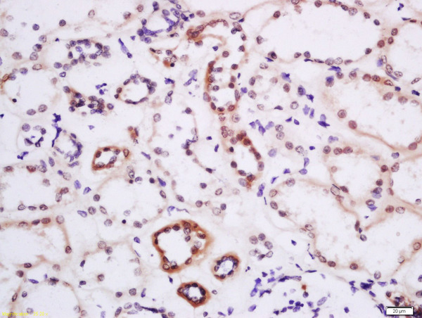
Paraformaldehyde-fixed, paraffin embedded Mouse lymph node; Antigen retrieval by boiling in sodium citrate buffer (pH6.0) for 15min; Block endogenous peroxidase by 3% hydrogen peroxide for 20 minutes; Blocking buffer (normal goat serum) at 37°C for 30min; Antibody incubation with DTX3L Polyclonal Antibody, Unconjugated (bs-14438R) at 1:200 overnight at 4°C, DAB staining.
DTX3L Polyclonal Antibody
BS-14438R
ApplicationsFlow Cytometry, ImmunoFluorescence, ELISA, ImmunoCytoChemistry, ImmunoHistoChemistry, ImmunoHistoChemistry Frozen, ImmunoHistoChemistry Paraffin
Product group Antibodies
ReactivityHuman, Mouse, Rabbit, Rat
TargetDTX3L
Overview
- SupplierBioss
- Product NameDTX3L Polyclonal Antibody
- Delivery Days Customer16
- ApplicationsFlow Cytometry, ImmunoFluorescence, ELISA, ImmunoCytoChemistry, ImmunoHistoChemistry, ImmunoHistoChemistry Frozen, ImmunoHistoChemistry Paraffin
- Applications SupplierELISA(1:500-1000), FCM(1:20-100), IHC-P(1:200-400), IHC-F(1:100-500), IF(IHC-P)(1:50-200), IF(IHC-F)(1:50-200), IF(ICC)(1:50-200)
- CertificationResearch Use Only
- ClonalityPolyclonal
- Concentration1 ug/ul
- ConjugateUnconjugated
- Gene ID151636
- Target nameDTX3L
- Target descriptiondeltex E3 ubiquitin ligase 3L
- Target synonymsBBAP, RNF143, E3 ubiquitin-protein ligase DTX3L, B-lymphoma- and BAL-associated protein, RING-type E3 ubiquitin transferase DTX3L, deltex 3 like, E3 ubiquitin ligase, deltex 3-like, rhysin-2, rhysin2
- HostRabbit
- IsotypeIgG
- Protein IDQ8TDB6
- Protein NameE3 ubiquitin-protein ligase DTX3L
- ReactivityHuman, Mouse, Rabbit, Rat
- Storage Instruction-20°C
- UNSPSC41116161








