
Confocal immunofluorescence analysis (Olympus FV10i) of methanol-fixed HeLa, using ECH1(GTX114374) antibody (Green) at 1:500 dilution. Alpha-tubulin filaments were labeled with GTX11304 (Red) at 1:2000.
ECH1 antibody
GTX114374
ApplicationsImmunoFluorescence, Western Blot, ImmunoCytoChemistry, ImmunoHistoChemistry, ImmunoHistoChemistry Paraffin
Product group Antibodies
ReactivityHuman, Mouse
TargetECH1
Overview
- SupplierGeneTex
- Product NameECH1 antibody
- Delivery Days Customer9
- Application Supplier NoteWB: 1:500-1:3000. ICC/IF: 1:100-1:1000. IHC-P: 1:100-1:1000. *Optimal dilutions/concentrations should be determined by the researcher.Not tested in other applications.
- ApplicationsImmunoFluorescence, Western Blot, ImmunoCytoChemistry, ImmunoHistoChemistry, ImmunoHistoChemistry Paraffin
- CertificationResearch Use Only
- ClonalityPolyclonal
- Concentration0.71 mg/ml
- ConjugateUnconjugated
- Gene ID1891
- Target nameECH1
- Target descriptionenoyl-CoA hydratase 1
- Target synonymsHPXEL, delta(3,5)-Delta(2,4)-dienoyl-CoA isomerase, mitochondrial, delta3,5-delta2,4-dienoyl-CoA isomerase, delta3,5-delta2,4-dienoyl-coenzyme A isomerase, dienoyl-CoA isomerase, enoyl Coenzyme A hydratase 1, peroxisomal, enoyl-CoA hydratase 1, peroxisomal, epididymis secretory sperm binding protein, peroxisomal enoyl-CoA hydratase 1
- HostRabbit
- IsotypeIgG
- Protein IDQ13011
- Protein NameDelta(3,5)-Delta(2,4)-dienoyl-CoA isomerase, mitochondrial
- Scientific DescriptionThis gene encodes a member of the hydratase/isomerase superfamily. The gene product shows high sequence similarity to enoyl-coenzyme A (CoA) hydratases of several species, particularly within a conserved domain characteristic of these proteins. The encoded protein, which contains a C-terminal peroxisomal targeting sequence, localizes to the peroxisome. The rat ortholog, which localizes to the matrix of both the peroxisome and mitochondria, can isomerize 3-trans,5-cis-dienoyl-CoA to 2-trans,4-trans-dienoyl-CoA, indicating that it is a delta3,5-delta2,4-dienoyl-CoA isomerase. This enzyme functions in the auxiliary step of the fatty acid beta-oxidation pathway. Expression of the rat gene is induced by peroxisome proliferators. [provided by RefSeq]
- ReactivityHuman, Mouse
- Storage Instruction-20°C or -80°C,2°C to 8°C
- UNSPSC41116161









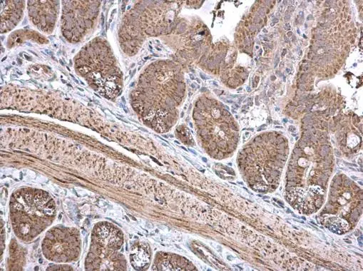
![ECH1 antibody [N1C3] detects ECH1 protein at cytoplasm in mouse intestine by immunohistochemical analysis. Sample: Paraffin-embedded mouse intestine. ECH1 antibody [N1C3] (GTX103552) diluted at 1:500.
Antigen Retrieval: Citrate buffer, pH 6.0, 15 min](https://www.genetex.com/upload/website/prouct_img/normal/GTX103552/GTX103552_40121_20150529_IHC_M_w_23060119_240.webp)

