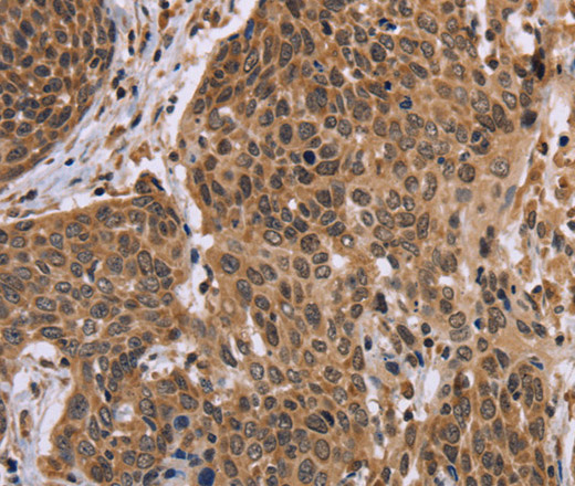
Immunohistochemistry of paraffin-embedded Human cervical cancer tissue using EDN2 Polyclonal Antibody at dilution 1:30
EDN2 Polyclonal Antibody
E-AB-14998
Product group Antibodies
Overview
- SupplierElabscience
- Product NameEDN2 Polyclonal Antibody
- Delivery Days Customer12
- Applications SupplierELISA IHC
- CertificationResearch Use Only
- Concentration0.5mg/ml
- Scientific DescriptionThis gene encodes a member of the endothelin protein family of secretory vasoconstrictive peptides. The preproprotein is processed to a short mature form which functions as a ligand for the endothelin receptors that initiate intracellular signaling events. This gene product is involved in a wide range of biological processes, such as hypertension and ovulation.
- UNSPSC12352203




