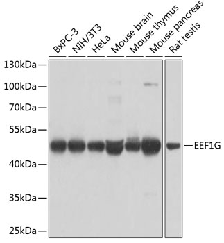
Western blot analysis of extracts of various cell lines using EEF1G Polyclonal Antibody at dilution of 1:1000.
EEF1 gamma Polyclonal Antibody
E-AB-65564
Product group Antibodies
Overview
- SupplierElabscience
- Product NameEEF1 gamma Polyclonal Antibody
- Delivery Days Customer12
- CertificationResearch Use Only
- Scientific DescriptionThis gene encodes a subunit of the elongation factor-1 complex, which is responsible for the enzymatic delivery of aminoacyl tRNAs to the ribosome. This subunit contains an N-terminal glutathione transferase domain, which may be involved in regulating the assembly of multisubunit complexes containing this elongation factor and aminoacyl-tRNA synthetases.
- UNSPSC12352203






