
Sample(30 ug whole cell lysate) A:A431(GTX27909) B:H1299 C:HeLa S3(GTX14654) 12% SDS PAGE GTX106535 diluted at 1:1000
EEF1B2 antibody [N1C3]
GTX106535
ApplicationsImmunoFluorescence, Western Blot, ImmunoCytoChemistry, ImmunoHistoChemistry, ImmunoHistoChemistry Paraffin
Product group Antibodies
ReactivityHuman, Mouse
TargetEEF1B2
Overview
- SupplierGeneTex
- Product NameEEF1B2 antibody [N1C3]
- Delivery Days Customer9
- Application Supplier NoteWB: 1:1000-1:10000. ICC/IF: 1:100-1:1000. IHC-P: 1:100-1:1000. *Optimal dilutions/concentrations should be determined by the researcher.Not tested in other applications.
- ApplicationsImmunoFluorescence, Western Blot, ImmunoCytoChemistry, ImmunoHistoChemistry, ImmunoHistoChemistry Paraffin
- CertificationResearch Use Only
- ClonalityPolyclonal
- Concentration1 mg/ml
- ConjugateUnconjugated
- Gene ID1933
- Target nameEEF1B2
- Target descriptioneukaryotic translation elongation factor 1 beta 2
- Target synonymsEEF1B, EEF1B1, EF1B, elongation factor 1-beta, EF-1-beta, eEF-1B alpha, eukaryotic translation elongation factor 1 beta 1
- HostRabbit
- IsotypeIgG
- Protein IDP24534
- Protein NameElongation factor 1-beta
- Scientific DescriptionThis gene encodes a translation elongation factor. The protein is a guanine nucleotide exchange factor involved in the transfer of aminoacylated tRNAs to the ribosome. Alternative splicing results in three transcript variants which differ only in the 5 UTR. [provided by RefSeq]
- ReactivityHuman, Mouse
- Storage Instruction-20°C or -80°C,2°C to 8°C
- UNSPSC41116161



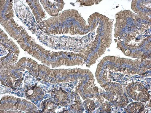
![EEF1B2 antibody [N1C3] detects EEF1B2 protein at cytoplasm on mouse duodenum by immunohistochemical analysis. Sample: Paraffin-embedded mouse duodenum. EEF1B2 antibody [N1C3] (GTX106535) diluted at 1:500.
Antigen Retrieval: Trilogy? (EDTA based, pH 8.0) buffer, 15min EEF1B2 antibody [N1C3] detects EEF1B2 protein at cytoplasm on mouse duodenum by immunohistochemical analysis. Sample: Paraffin-embedded mouse duodenum. EEF1B2 antibody [N1C3] (GTX106535) diluted at 1:500.
Antigen Retrieval: Trilogy? (EDTA based, pH 8.0) buffer, 15min](https://www.genetex.com/upload/website/prouct_img/normal/GTX106535/GTX106535_39959_20150402_IHC_M_w_23060120_797.webp)







