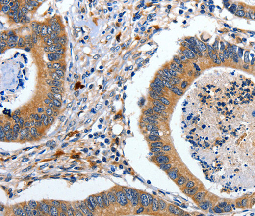
Immunohistochemistry of paraffin-embedded Human colon cancer tissue using EFNB2 Polyclonal Antibody at dilution 1:80
EFNB2 Polyclonal Antibody
E-AB-14063
ApplicationsImmunoHistoChemistry
Product group Antibodies
TargetEFNB2
Overview
- SupplierElabscience
- Product NameEFNB2 Polyclonal Antibody
- Delivery Days Customer12
- ApplicationsImmunoHistoChemistry
- Applications SupplierELISA IHC
- CertificationResearch Use Only
- ClonalityPolyclonal
- Concentration0.7 mg/ml
- ConjugateUnconjugated
- Gene ID1948
- Target nameEFNB2
- Target descriptionephrin B2
- Target synonymsEPLG5, HTKL, Htk-L, LERK5, ephrin-B2, ephrin-B2, HTK ligand, eph-related receptor tyrosine kinase ligand 5, ligand of eph-related kinase 5
- HostRabbit
- IsotypeIgG
- Protein IDP52799
- Protein NameEphrin-B2
- Scientific DescriptionThis gene encodes a member of the ephrin (EPH) family. The ephrins and EPH-related receptors comprise the largest subfamily of receptor protein-tyrosine kinases and have been implicated in mediating developmental events, especially in the nervous system and in erythropoiesis. Based on their structures and sequence relationships, ephrins are divided into the ephrin-A (EFNA) class, which are anchored to the membrane by a glycosylphosphatidylinositol linkage, and the ephrin-B (EFNB) class, which are transmembrane proteins. This gene encodes an EFNB class ephrin which binds to the EPHB4 and EPHA3 receptors.
- Storage Instruction-20°C
- UNSPSC41116161







