
Non-transfected (–) and transfected (+) 293T whole cell extracts (30 μg) were separated by 10% SDS-PAGE, and the membrane was blotted with ERF antibody (GTX114971) diluted at 1:4000. The HRP-conjugated anti-rabbit IgG antibody (GTX213110-01) was used to detect the primary antibody.
ERF antibody
GTX114971
ApplicationsImmunoFluorescence, Western Blot, ImmunoCytoChemistry, ImmunoHistoChemistry, ImmunoHistoChemistry Paraffin
Product group Antibodies
ReactivityHuman, Mouse
TargetERF
Overview
- SupplierGeneTex
- Product NameERF antibody
- Delivery Days Customer9
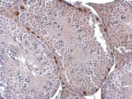
- Application Supplier NoteWB: 1:500-1:10000. ICC/IF: 1:100-1:1000. IHC-P: 1:100-1:1000. *Optimal dilutions/concentrations should be determined by the researcher.Not tested in other applications.
- ApplicationsImmunoFluorescence, Western Blot, ImmunoCytoChemistry, ImmunoHistoChemistry, ImmunoHistoChemistry Paraffin
- CertificationResearch Use Only
- ClonalityPolyclonal
- Concentration0.24 mg/ml
- ConjugateUnconjugated
- Gene ID2077
- Target nameERF
- Target descriptionETS2 repressor factor
- Target synonymsCHYTS, CRS4, PE-2, PE2, ETS domain-containing transcription factor ERF
- HostRabbit
- IsotypeIgG
- Protein IDP50548
- Protein NameETS domain-containing transcription factor ERF
- Scientific DescriptionMembers of the ETS family of transcription factors, such as ERF, regulate cell proliferation and differentiation. They share a highly conserved DNA-binding domain, the ETS domain, that recognizes the sequence GGAA/T (de Castro et al., 1997 [PubMed 9192842]). For further information on ETS transcription factors, see ETS1 (MIM 164720).[supplied by OMIM]
- ReactivityHuman, Mouse
- Storage Instruction-20°C or -80°C,2°C to 8°C
- UNSPSC41116161









