
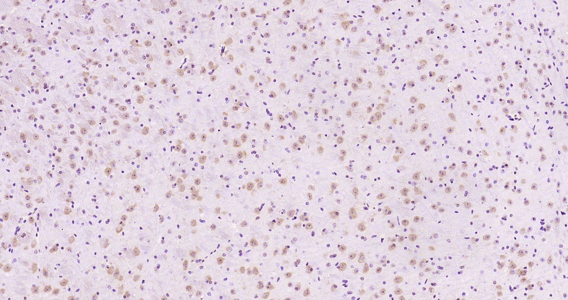
Paraformaldehyde-fixed, paraffin embedded Rat brain; Antigen retrieval by boiling in sodium citrate buffer (pH6.0) for 15min; Block endogenous peroxidase by 3% hydrogen peroxide for 20 minutes; Blocking buffer (normal goat serum) at 37°C for 30min; Antibody incubation with ERK1/2(Thr202 + Tyr204) Polyclonal Antibody, Unconjugated (bs-3016R) at 1:200 overnight at 4°C, DAB staining.
phospho-ERK1/2 (Thr202 + Tyr204) Polyclonal Antibody
BS-3016R
ApplicationsFlow Cytometry, ImmunoFluorescence, Western Blot, ELISA, ImmunoCytoChemistry, ImmunoHistoChemistry, ImmunoHistoChemistry Frozen, ImmunoHistoChemistry Paraffin
Product group Antibodies
ReactivityBovine, Canine, Chicken, Equine, Guinea Pig, Human, Mouse, Porcine, Rabbit, Rat
TargetMAPK3
Overview
- SupplierBioss
- Product Namephospho-ERK1/2 (Thr202 + Tyr204) Polyclonal Antibody
- Delivery Days Customer16
- ApplicationsFlow Cytometry, ImmunoFluorescence, Western Blot, ELISA, ImmunoCytoChemistry, ImmunoHistoChemistry, ImmunoHistoChemistry Frozen, ImmunoHistoChemistry Paraffin
- Applications SupplierWB(1:300-5000), ELISA(1:500-1000), FCM(1:20-100), IHC-P(1:200-400), IHC-F(1:100-500), IF(IHC-P)(1:50-200), IF(IHC-F)(1:50-200), IF(ICC)(1:50-200)
- CertificationResearch Use Only
- ClonalityPolyclonal
- Concentration1 ug/ul
- ConjugateUnconjugated
- Gene ID5595
- Target nameMAPK3
- Target descriptionmitogen-activated protein kinase 3
- Target synonymsERK-1, ERK1, ERT2, HS44KDAP, HUMKER1A, P44ERK1, P44MAPK, PRKM3, p44-ERK1, p44-MAPK, mitogen-activated protein kinase 3, MAPK 1, extracellular signal-regulated kinase 1, extracellular signal-related kinase 1, insulin-stimulated MAP2 kinase, microtubule-associated protein 2 kinase
- HostRabbit
- IsotypeIgG
- Protein IDP27361
- Protein NameMitogen-activated protein kinase 3
- ReactivityBovine, Canine, Chicken, Equine, Guinea Pig, Human, Mouse, Porcine, Rabbit, Rat
- Storage Instruction-20°C
- UNSPSC41116161
References
- Down-regulation of Suv39h1 attenuates neointima formation after carotid artery injury in diabetic rats. Zhang J et al., 2020 Jan, J Cell Mol MedRead this paper
- Clinical and biological significances of heat shock protein 90 (Hsp90) in human nasopharyngeal carcinoma cells and anti-cancer effects of Hsp90 inhibitor. Liu F et al., 2019 Dec, Biomed PharmacotherRead this paper
- Vitamin B5 inhibit RANKL induced osteoclastogenesis and ovariectomy induced osteoporosis by scavenging ROS generation. Ma Q et al., 2019, Am J Transl ResRead this paper
- LncRNA SNHG1 alleviates IL-1beta-induced osteoarthritis by inhibiting miR-16-5p-mediated p38 MAPK and NF-kappaB signaling pathways. Lei J et al., 2019 Sep 30, Biosci RepRead this paper
- Berberine suppresses mast cell-mediated allergic responses via regulating FcepsilonRI-mediated and MAPK signaling. Fu S et al., 2019 Jun, Int ImmunopharmacolRead this paper
- Ecdysterone Accelerates Healing of Radiation-Induced Oral Mucositis in Rats by Increasing Matrix Cell Proliferation. Li Y et al., 2019 Mar, Radiat ResRead this paper
- Total flavones of fermentation broth by co-culture of Coprinus comatus and Morchella esculenta induces an anti-inflammatory effect on LPS-stimulated RAW264.7 macrophages cells via the MAPK signaling pathway. Zhao X et al., 2018 Dec, Microb PathogRead this paper
- Upregulation of long noncoding RNA CCAT1-L promotes epithelial-mesenchymal transition in gastric adenocarcinoma. Fang H et al., 2018, Onco Targets TherRead this paper
- Activation of the complement system in an osteosarcoma cell line promotes angiogenesis through enhanced production of growth factors. Jeon H et al., 2018 Apr 3, Sci RepRead this paper
- Seasonal Expression of Oxytocin and Oxytocin Receptor in the Scented Gland of Male Muskrat (Ondatra zibethicus). Zhang F et al., 2017 Nov 30, Sci RepRead this paper













![Various whole cell extracts (30 μg) were separated by 10% SDS-PAGE, and the membranes were blotted with ERK1 antibody [N1], N-term (GTX100699) diluted at 1:1000 and competitor's antibody (sc-94) diluted at 1:2000. The HRP-conjugated anti-rabbit IgG antibody (GTX213110-01) was used to detect the primary antibody. *The competitor is not affiliated with GeneTex and does not endorse this product.](https://www.genetex.com/upload/website/prouct_img/normal/GTX100699/GTX100699_43068_20171215_WB_competitor_watermark_w_23060100_914.webp)
