![Various whole cell extracts (30 μg) were separated by 7.5% SDS-PAGE, and the membrane was blotted with ESRP1 antibody [HL3413] (GTX641250) diluted at 1:1000. The HRP-conjugated anti-rabbit IgG antibody (GTX213110-01) was used to detect the primary antibody. Corresponding RNA expression data for the same cell lines are based on Human Protein Atlas program. Various whole cell extracts (30 μg) were separated by 7.5% SDS-PAGE, and the membrane was blotted with ESRP1 antibody [HL3413] (GTX641250) diluted at 1:1000. The HRP-conjugated anti-rabbit IgG antibody (GTX213110-01) was used to detect the primary antibody. Corresponding RNA expression data for the same cell lines are based on Human Protein Atlas program.](https://www.genetex.com/upload/website/prouct_img/normal/GTX641250/GTX641250_T-45579_20241101_WB_TPM_watermark_24110700_402.webp)
Various whole cell extracts (30 μg) were separated by 7.5% SDS-PAGE, and the membrane was blotted with ESRP1 antibody [HL3413] (GTX641250) diluted at 1:1000. The HRP-conjugated anti-rabbit IgG antibody (GTX213110-01) was used to detect the primary antibody. Corresponding RNA expression data for the same cell lines are based on Human Protein Atlas program.
ESRP1 antibody [HL3413]
GTX641250
ApplicationsWestern Blot, ImmunoHistoChemistry, ImmunoHistoChemistry Paraffin
Product group Antibodies
ReactivityHuman, Mouse
TargetESRP1
Overview
- SupplierGeneTex
- Product NameESRP1 antibody [HL3413]
- Delivery Days Customer7
- Application Supplier NoteWB: 1:500-1:3000. *Optimal dilutions/concentrations should be determined by the researcher.Not tested in other applications.
- ApplicationsWestern Blot, ImmunoHistoChemistry, ImmunoHistoChemistry Paraffin
- CertificationResearch Use Only
- ClonalityMonoclonal
- Clone IDHL3413
- Concentration1 mg/ml
- ConjugateUnconjugated
- Gene ID54845
- Target nameESRP1
- Target descriptionepithelial splicing regulatory protein 1
- Target synonymsDFNB109, RBM35A, RMB35A, epithelial splicing regulatory protein 1, RNA-binding motif protein 35A, RNA-binding protein 35A
- HostRabbit
- IsotypeIgG
- Protein IDQ6NXG1
- Protein NameEpithelial splicing regulatory protein 1
- Scientific DescriptionESPR1 is an epithelial cell-type-specific splicing regulator (Warzecha et al., 2009 [PubMed 19285943]).[supplied by OMIM, Aug 2009]
- ReactivityHuman, Mouse
- Storage Instruction-20°C or -80°C,2°C to 8°C
- UNSPSC12352203
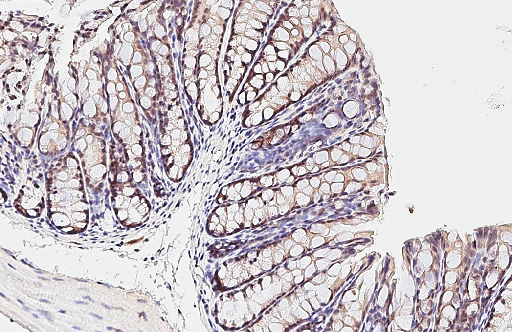
![ESRP1 antibody [HL3413] detects ESRP1 protein by immunohistochemical analysis. Sample: Paraffin-embedded mouse colon. ESRP1 stained by ESRP1 antibody [HL3413] (GTX641250) diluted at 1:100. Antigen Retrieval: Citrate buffer, pH 6.0, 15 min ESRP1 antibody [HL3413] detects ESRP1 protein by immunohistochemical analysis. Sample: Paraffin-embedded mouse colon. ESRP1 stained by ESRP1 antibody [HL3413] (GTX641250) diluted at 1:100. Antigen Retrieval: Citrate buffer, pH 6.0, 15 min](https://www.genetex.com/upload/website/prouct_img/normal/GTX641250/GTX641250_T-45579_20241227_IHC-P_M_1_25012200_244.webp)
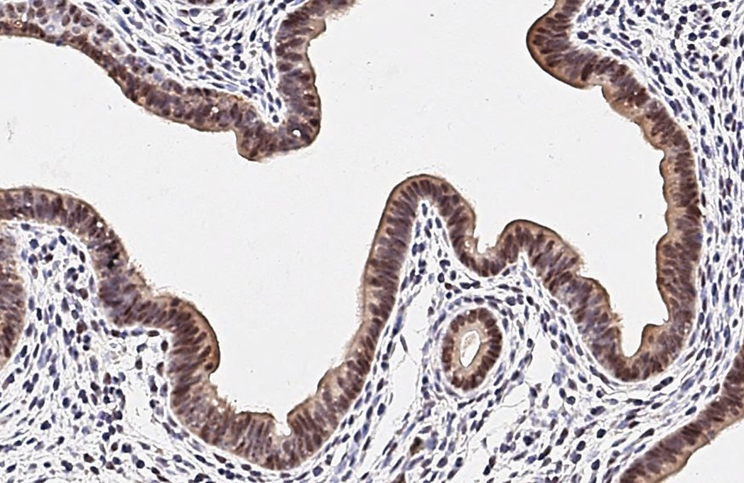
![ESRP1 antibody [HL3413] detects ESRP1 protein by immunohistochemical analysis. Sample: Paraffin-embedded mouse uterus. ESRP1 stained by ESRP1 antibody [HL3413] (GTX641250) diluted at 1:100. Antigen Retrieval: Citrate buffer, pH 6.0, 15 min ESRP1 antibody [HL3413] detects ESRP1 protein by immunohistochemical analysis. Sample: Paraffin-embedded mouse uterus. ESRP1 stained by ESRP1 antibody [HL3413] (GTX641250) diluted at 1:100. Antigen Retrieval: Citrate buffer, pH 6.0, 15 min](https://www.genetex.com/upload/website/prouct_img/normal/GTX641250/GTX641250_T-45579_20241227_IHC-P_M_2_25012200_585.webp)
![ESRP1 antibody [HL3413] detects ESRP1 protein by immunohistochemical analysis. Sample: Paraffin-embedded human tissues. ESRP1 stained by ESRP1 antibody [HL3413] (GTX641250) diluted at 1:100. Antigen Retrieval: Citrate buffer, pH 6.0, 15 min ESRP1 antibody [HL3413] detects ESRP1 protein by immunohistochemical analysis. Sample: Paraffin-embedded human tissues. ESRP1 stained by ESRP1 antibody [HL3413] (GTX641250) diluted at 1:100. Antigen Retrieval: Citrate buffer, pH 6.0, 15 min](https://www.genetex.com/upload/website/prouct_img/normal/GTX641250/GTX641250_T-45579_20250214_IHC-P_Multiple_RPKM_25031220_848.webp)
![Whole zebrafish extract (30 μg) was separated by 7.5% SDS-PAGE, and the membrane was blotted with ESRP1 antibody [HL3413] (GTX641250) diluted at 1:1000. The HRP-conjugated anti-rabbit IgG antibody (GTX213110-01) was used to detect the primary antibody, and the signal was developed with Trident ECL plus-Enhanced. Whole zebrafish extract (30 μg) was separated by 7.5% SDS-PAGE, and the membrane was blotted with ESRP1 antibody [HL3413] (GTX641250) diluted at 1:1000. The HRP-conjugated anti-rabbit IgG antibody (GTX213110-01) was used to detect the primary antibody, and the signal was developed with Trident ECL plus-Enhanced.](https://www.genetex.com/upload/website/prouct_img/normal/GTX641250/GTX641250_45635_20250530_WB_Z_25061003_923.webp)





