![ETEA antibody [C3], C-term detects FAF2 protein at endoplasmic reticulum by immunofluorescent analysis. Sample: HeLa cells were fixed in 4% paraformaldehyde at RT for 15 min. Green: FAF2 protein stained by ETEA antibody [C3], C-term (GTX107993) diluted at 1:500. Blue: Hoechst 33343 staining. ETEA antibody [C3], C-term detects FAF2 protein at endoplasmic reticulum by immunofluorescent analysis. Sample: HeLa cells were fixed in 4% paraformaldehyde at RT for 15 min. Green: FAF2 protein stained by ETEA antibody [C3], C-term (GTX107993) diluted at 1:500. Blue: Hoechst 33343 staining.](https://www.genetex.com/upload/website/prouct_img/normal/GTX107993/GTX107993_39735_IFA_w_23060120_382.webp)
ETEA antibody [C3], C-term detects FAF2 protein at endoplasmic reticulum by immunofluorescent analysis. Sample: HeLa cells were fixed in 4% paraformaldehyde at RT for 15 min. Green: FAF2 protein stained by ETEA antibody [C3], C-term (GTX107993) diluted at 1:500. Blue: Hoechst 33343 staining.
ETEA antibody [C3], C-term
GTX107993
ApplicationsImmunoFluorescence, Western Blot, ImmunoCytoChemistry, ImmunoHistoChemistry, ImmunoHistoChemistry Paraffin
Product group Antibodies
ReactivityHuman, Mouse
TargetFAF2
Overview
- SupplierGeneTex
- Product NameETEA antibody [C3], C-term
- Delivery Days Customer9
- Application Supplier NoteWB: 1:500-1:3000. ICC/IF: 1:100-1:1000. IHC-P: 1:100-1:1000. *Optimal dilutions/concentrations should be determined by the researcher.Not tested in other applications.
- ApplicationsImmunoFluorescence, Western Blot, ImmunoCytoChemistry, ImmunoHistoChemistry, ImmunoHistoChemistry Paraffin
- CertificationResearch Use Only
- ClonalityPolyclonal
- Concentration0.57 mg/ml
- ConjugateUnconjugated
- Gene ID23197
- Target nameFAF2
- Target descriptionFas associated factor family member 2
- Target synonymsETEA, UBXD8, UBXN3B, FAS-associated factor 2, UBX domain containing 8, UBX domain protein 3B, UBX domain-containing protein 3B, UBX domain-containing protein 8, expressed in T-cells and eosinophils in atopic dermatitis
- HostRabbit
- IsotypeIgG
- Protein IDQ96CS3
- Protein NameFAS-associated factor 2
- Scientific DescriptionThe protein encoded by this gene is highly expressed in peripheral blood of patients with atopic dermatitis (AD), compared to normal individuals. It may play a role in regulating the resistance to apoptosis that is observed in T cells and eosinophils of AD patients. [provided by RefSeq]
- ReactivityHuman, Mouse
- Storage Instruction-20°C or -80°C,2°C to 8°C
- UNSPSC41116161

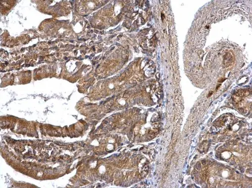
![ETEA antibody [C3], C-term detects ETEA protein at cytoplasm on mouse intestine by immunohistochemical analysis. Sample: Paraffin-embedded mouse intestine. ETEA antibody [C3], C-term (GTX107993) diluted at 1:500.
Antigen Retrieval: Trilogy? (EDTA based, pH 8.0) buffer, 15min ETEA antibody [C3], C-term detects ETEA protein at cytoplasm on mouse intestine by immunohistochemical analysis. Sample: Paraffin-embedded mouse intestine. ETEA antibody [C3], C-term (GTX107993) diluted at 1:500.
Antigen Retrieval: Trilogy? (EDTA based, pH 8.0) buffer, 15min](https://www.genetex.com/upload/website/prouct_img/normal/GTX107993/GTX107993_39735_20141114_IHC_M_w_23060120_323.webp)






