
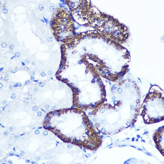
IHC-P analysis of mouse kidney tissue using GTX64791 EXTL3 antibody. Dilution : 1:100
EXTL3 antibody
GTX64791
ApplicationsWestern Blot, ImmunoHistoChemistry, ImmunoHistoChemistry Paraffin
Product group Antibodies
ReactivityHuman, Mouse, Rat
TargetEXTL3
Overview
- SupplierGeneTex
- Product NameEXTL3 antibody
- Delivery Days Customer9
- Application Supplier NoteWB: 1:200 - 1:2000. IHC-P: 1:50 - 1:200. *Optimal dilutions/concentrations should be determined by the researcher.Not tested in other applications.
- ApplicationsWestern Blot, ImmunoHistoChemistry, ImmunoHistoChemistry Paraffin
- CertificationResearch Use Only
- ClonalityPolyclonal
- ConjugateUnconjugated
- Gene ID2137
- Target nameEXTL3
- Target descriptionexostosin like glycosyltransferase 3
- Target synonymsBOTV, EXTL1L, EXTR1, ISDNA, REGR, RPR, exostosin-like 3, EXT-related 1, epididymis secretory sperm binding protein, exostoses (multiple)-like 3, exostosin tumor-like 3, glucuronyl-galactosyl-proteoglycan 4-alpha-N-acetylglucosaminyltransferase, hereditary multiple exostoses gene isolog, putative tumor suppressor protein EXTL3, reg receptor
- HostRabbit
- IsotypeIgG
- Protein IDO43909
- Protein NameExostosin-like 3
- Scientific DescriptionThis gene encodes a single-pass membrane protein which functions as a glycosyltransferase. The encoded protein catalyzes the transfer of N-acetylglucosamine to glycosaminoglycan chains. This reaction is important in heparin and heparan sulfate synthesis. Alternative splicing results in the multiple transcript variants. [provided by RefSeq, Nov 2012]
- ReactivityHuman, Mouse, Rat
- Storage Instruction-20°C or -80°C,2°C to 8°C
- UNSPSC41116161







